CHICAGO -- Transgender women experience higher rates of injury than cisgender women, according to imaging findings presented December 4 at RSNA 2024.
In his talk, Rohan Chopra from Northeastern University in Boston, MA, shared his team’s findings, showing through imaging that transgender women suffer eight times as many head injuries, 36 times as many facial injuries, and five times as many chest injuries as cisgender women. And more than four in 10 transgender women reported interpersonal violence.
“Transgender women have been reported to experience alarmingly high rates of violence,” Chopra said in a statement released by the RSNA. “They also frequently endure discrimination, hate crimes, psychological abuse, and social isolation, which not only increases their vulnerability but also creates significant barriers in reporting violence and escaping abusive situations.”
The term "cisgender" describes people whose gender identity matches the sex they were assigned at birth. The term "transgender" describes people whose gender identity differs from the sex they were assigned at birth. Recent reports indicate that transgender women are more likely than cisgender people to experience violence.
Chopra and colleagues studied the prevalence of injuries and violence disparities between transgender female and cisgender female patients, analyzing their respective radiology reports.
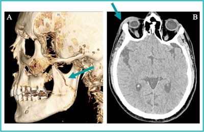
35-year-old transgender woman presents with (A) a 3D CT reformation of the face in the sagittal plane showing a left mandibular fracture (arrow). (B) An axial head CT image from one of three head CT studies over the last two years reveals right periorbital soft tissue swelling (arrow). The radiologist reader suspected intimate partner violence based on radiology reports, which was subsequently confirmed through clinical note examination. Image courtesy of the RSNA.
The researchers included data from the Trauma Imaging Research and Innovation Center at Brigham and Women’s Hospital, which Chopra also represents. This included data from 263 trans female patients and 525 age-, race-, and ethnicity-matched cisgender women.
Two radiologists blinded to the study’s purpose assessed the likelihood of intimate partner violence based on radiology reports. The team also reviewed electronic medical record data for violence documentation in all women with radiologically evident injuries.
The team reported the following:
- 25.4% of transgender women sustained 141 injuries, compared with 14.7% of cisgender women with 98 injuries.
- Injury rates were higher in transgender women, with an adjusted incidence rate ratio (aIRR) of 3.3 (p < 0.0001). This especially goes for cranial (aIRR, 7.8; p < 0.0001), facial (aIRR 36.4; p < 0.0001), and thoracic injuries (aIRR 4.9; p = 0.01), with 78.9% of facial fractures involving the midface.
- Transgender women were more likely to receive emergency imaging than cisgender women (odds ratio [OR] = 5.3; p < 0.0001).
- Radiologists suspected interpersonal violence in 12 transgender women and one cisgender woman, with 75% of transgender women confirming violence and 50% specifically reporting interpersonal violence.
- More transgender women reported experiencing interpersonal violence (OR = 4, with 1 as reference; p = 0.003) and other types of violence (OR = 4.8), with 14.9% of transgender women denying violence compared with 39% of cisgender women.
- No interpersonal violence screening was reported in 37.3% of transgender women and 46.8% of cisgender women.
The results highlight an elevated risk of violence and gaps in preventive care in transgender women, the study authors noted.
Lead author Bharti Khurana, MD, founder of the Trauma Imaging Research and Innovation Center, said in an RSNA statement that recognizing these patterns could make way for radiologists to help identify at-risk patients and facilitate timely interpersonal violence screening and support for transgender women.
For full 2024 RSNA coverage, visit our RADCast.



















