
SAN DIEGO - Severe acute respiratory syndrome (SARS) presents with distinct radiological signs in approximately 75% of plain-film chest radiographs, according to Dr. Narinder Paul of Princess Margaret Hospital in Toronto, ON. Paul presented the initial results of his work with SARS cases at his facility on Monday in a special session of the American Roentgen Ray Society annual meeting.
"SARS is a new form of potentially fatal pneumonia that usually begins with a fever greater than 38°C (100.4°F) in 91% of cases, and is often accompanied by chills or other symptoms, including headache, malaise, and body aches," Paul said.
The original SARS case in Canada was found in a medical resident who contracted the disease while on a visit to China. She brought the virus home with her, and infected family and colleagues who later presented with the disease. Unfortunately, she was also one of the virus' first fatalities in Canada.
"The 149 probable cases of SARS and 22 deaths between February 23, 2003 and May 2, 2003 in Canada have had the following distribution: three were as a result of travel in China, 36 were family members of the travelers, and 110 were hospital healthcare workers," Paul noted.
The distribution of cases in Canada falls across an age range of 17-91, with a median patient age of 45 years. Of this patient cohort, 88 females and 61 males presented with the disease.
Isolation procedures were quickly implemented by hospitals in Toronto once the disease was identified. The protocols were as follows:
- No routine procedures were performed.
- No visitors were allowed.
- No cross coverage was performed at multiple institutions.
- No medical students were allowed into the hospitals.
- No rounds were conducted.
- The cafeteria was closed.
- No "close contact" was permitted -- conversations were conducted from a minimum distance of one meter (three feet) away from one another, with all parties masked.
"For assessing SARS, our aim has been to distinguish it from other community-acquired atypical pneumonia of unknown cause, as well as to exclude other causes," Paul said.
The SARS team in Canada elected to obtain chest radiographs of potential SARS patients with portable x-ray machines in a single view to maintain isolation policies as much as possible. Technique for imaging was a standard 120-kVp chest x-ray procedure, according to Paul.
![]() |
![]() |
![]() |
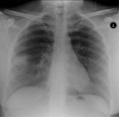
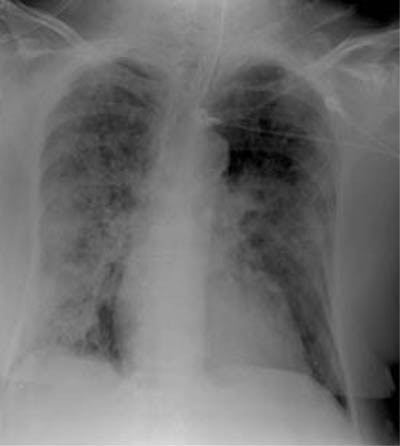
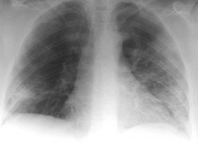
| Radiological signs of SARS include presentation with focal airspace opacity, seen here in the periphery of the right midzone (top image), in approximately 46% of the cases. In 29% of the cases with abnormal radiographs, there were bilateral multifocal opacities (middle image) as well as diffuse opacities, seen here principally in the right lung (bottom image). Images courtesy and copyright of Dr. Narinder Paul, Princess Margaret Hospital, Toronto, ON |
Approximately 25% of the patients are showing normal chest x-rays on admission for SARS, according to Paul. The remaining 75% of patients with abnormal chest x-rays can be divided into two groups.
About 46% of the patients are showing unilateral focal opacities; the remaining 29% are presenting with bilateral multifocal opacities or diffuse opacities. Of these signs, the most worrisome are the diffuse opacities, Paul said, because these patients have shown the highest rate of mortality. Conversations with physicians in SARS-affected areas of China have revealed that these percentages are roughly the same in China, he said.
Of interest to Paul and his colleagues in Toronto has been an anomalous correlation that the researchers have seen between the multifocal opacities and fevers in patients.
"We’ve seen the opacities switch sides of the lungs, as well as increase and decrease in size over the course of the infection. This waxing and waning has also seemed to follow the rise and fall of some of the patients’ fevers as well," Paul said.
By Jonathan S. BatchelorAuntMinnie.com staff writer
May 6, 2003
Related Reading
Lung scarring found in Hong Kong SARS victims, May 2, 2003
ISMRM reschedules meeting for July, May 1, 2003
WHO lifts SARS warning on travel to Toronto, April 30, 2003
Canada to host global SARS conference, April 30, 2003
Toronto imaging gears up for SARS aftermath, April 29, 2003
Copyright © 2003 AuntMinnie.com






















