
Radiography was one of several diagnostic tools that helped detect the presence of novel coronavirus (2019-nCoV) in a Vietnamese man who had traveled to Wuhan, China, the center of the outbreak. The case study was reported on January 28 in the New England Journal of Medicine.
The coronavirus outbreak has sparked alarm around the globe since the first cases began appearing late last year in Wuhan. The disease is believed to have originated in the Huanan seafood market in Wuhan -- a "wet market," where live and dead animals are sold for human consumption.
While more common coronaviruses are typically not serious, causing conditions like the common cold, occasionally they take on more lethal forms such as severe acute respiratory syndrome (SARS) and Middle East respiratory syndrome (MERS). The 2019-nCoV virus is believed to have caused over 100 deaths worldwide so far and prompted travel restrictions in China and abroad.
In the current case described in the journal, a 65-year-old Vietnamese man who had just returned from the Wuchang district of Wuhan was admitted to Cho Ray Hospital in Ho Chi Minh City on January 22 with symptoms that included low-grade fever and fatigue. He had become ill with fever on January 17, four days after he and his wife had arrived in Hanoi from a trip to Wuchang. The man told hospital officials he had not been to a wet market while in Wuhan, according to a team led by Lan Phan, PhD, of Pasteur Institute Ho Chi Minh City.
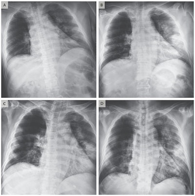
Chest radiographs obtained at admission (A) and on day 3 (B) of man who had traveled to Wuhan. Image C was acquired on day 5 and image D on day 6. Images courtesy of New England Journal of Medicine.Samples were collected from the man with throat swabs; they tested positive for 2019-nCoV on reverse transcription polymerase chain reaction (RT-PCR) diagnostic assays. The man was then admitted to the hospital, where he was treated with antiviral medications, broad-spectrum antibiotics, and other therapies.
Chest radiographs were also acquired, indicating an infiltrate in the upper lobe of the left lung. The man received supplemental oxygen because of increasing dyspnea with hypoxemia, and a progressive infiltrate and consolidation were observed on the chest x-rays.
On January 25 the man's fever disappeared and his condition had improved as of January 26. His wife showed no symptoms while traveling and was healthy as of January 28, according to the report.
The man's son may not have been so lucky, however, and is believed to have been infected with 2019-nCoV after meeting his father on January 17 after his parents returned to Vietnam. The man had shared a bedroom in a hotel with his parents for three days after they returned from Wuhan.
The son developed a dry cough and fever on January 20, and he also reported vomiting and loose stools. This led health authorities to speculate that the son was infected by the father and that the incubation period for 2019-nCoV was three days or less.
The son was immediately isolated when he presented at the hospital on January 22 with his father, and chest radiographs and lab tests were acquired. These tests were negative, with the exception of an increased level of C-reactive protein. Real-time RT-PCR assays for influenza A and B viruses and nonstructural protein 1 antigen rapid tests for dengue viruses were also negative, but a throat swab for 2019-nCoV was positive. The son's condition was stable after January 23.
The report closed by noting that the family had traveled to four cities in Vietnam on various forms of transportation after returning from China. Health authorities have identified that they were in close contact with 28 individuals, but no symptoms of upper respiratory infection have developed in any of them.
However, the occurrence of human-to-human transmission of 2019-nCoV outside of the immediate outbreak zone in China "arouses concern," Phan and colleagues concluded.


















