
Numerous computer-aided detection (CAD) studies have compared the colorectal polyp detection performance of human readers with and without the aid of CAD. But you'd be hard-pressed to find a standalone CAD study of virtual colonoscopy (VC or CT colonography [CTC]) -- probably because there has been little to recommend standalone CAD as a reasonable diagnostic algorithm.
Yet the quality of CAD performance per se is a relevant question, considering the accumulating evidence that CAD detects different lesions than humans, reader training and experience affect detection accuracy in important ways, and CAD seems to help inexperienced readers more than experts.
"Comparison of the performance of computer-aided detection and unaided human reading has not really been addressed in a large multicenter clinical trial context for CTC yet," said Dr. Hiro Yoshida from Harvard Medical School and Massachusetts General Hospital, both in Boston. "So the objective of this study was to retrospectively compare the sensitivity of CAD and that of prospective CTC readings."
Yoshida, Dr. Janne Näppi, Dr. Kouichi Nagata, and colleagues aimed to compare the original prospective reading results of two VC trials with standalone CAD performance in the reading of datasets for their study.
The study found that CAD handily outperformed the readers in a statistically significant way for clinically important polyps, but did only slightly better than the human readers for diminutive lesions, Yoshida reported at the 2007 International Symposium on Virtual Colonoscopy in Boston.
The group incorporated CT data from two large multicenter trials: the U.S. Department of Defense (DoD) study led by Dr. Perry Pickhardt and colleagues (New England Journal of Medicine, December 4, 2003, Vol. 349:23, pp. 2191-2120), and another trial led by Dr. Donald Rockey and his team from Duke University School of Medicine in Durham, NC (Lancet, January 15, 2005, Vol. 365:9455, pp. 305-331).
From the DoD trial, only the subset of data acquired at Walter Reed Army Medical Center in Bethesda, MD, was analyzed. Aiming for a half-and-half split, about 57% of the cases came from the asymptomatic but elevated-risk Duke cohort (n = 607) and 43% from the asymptomatic average-risk DoD cohort (n = 450), for a total of 1,056 cases from both trials, Yoshida said.
All subjects underwent a cathartic bowel-cleansing regimen. The DoD cohort also ingested barium and Gastrografin (Bayer Schering Pharma, Berlin) for fecal and fluid tagging, while the Duke subjects did not undergo a tagging regimen. The in-house CAD system was designed to identify polyps both with and without the use of tagging agents, Yoshida said.
Prone and supine CT imaging was performed using 1.25- to 2.5-mm collimation and 1-mm reconstruction intervals. The size and location of the findings were reported by unblinded colonoscopy and virtual colonoscopy results.
Strict polyp-matching criteria applied: To be considered true positive at virtual colonoscopy, the lesion had to be located within the radius of the optical colonoscopy-detected lesion, the authors explained.
In all, there were 191 retrospectively visible and biopsy-proven adenomas or carcinomas 6 mm or larger in diameter, including 107 lesions 8 mm or larger and 74 lesions 10 mm or larger in diameter.
"The results for sensitivity in comparison with CAD and prospective CTC reading show that CAD sensitivity is higher than prospective unaided human CTC reading," Yoshida said.
|
||||||||||||||||||||||||||||||||||||||||||
Per-polyp results from the combined study data showed detection sensitivity for unaided viewing at 70% for lesions 6 mm or larger, 69% for lesions 8 mm or larger, and 69% for lesions 10 mm or larger, he said. The corresponding per-polyp sensitivity of standalone CAD was 76% for lesions 6 mm or larger, 88% for lesions 8 mm or larger, and 90% for lesions 10 mm or larger, with an average CAD false-positive rate of 4.5 per case.
For the Duke database alone, unaided per-polyp sensitivity was 65% for adenomas and carcinomas 6 mm or larger, 63% for lesions 8 mm or larger, and 65% for lesions 10 mm or larger, compared to per-polyp CAD sensitivities of 76%, 85% and 88%, respectively.
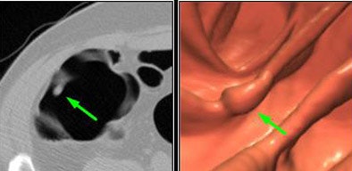
![]() |
| From Duke (Rockey et al) trial database: 10-mm pedunculated polyp in cecum missed by CTC but detected by CAD. Images courtesy of Dr. Hiroyuki Yoshida, Pickhardt et al. |
CAD yielded statistically significantly higher sensitivity in detecting adenomatous polyps larger than 8 mm at a reasonably low false-positive rate for the Duke database, Yoshida said.
In the DoD database, unaided per-polyp sensitivity was 81% for adenomas and carcinomas 6 mm or larger, 85% for lesions 8 mm or larger, and 78% for lesions 10 mm or larger, compared to per-polyp sensitivities of 80%, 96%, and 94%, respectively, for standalone CAD.
![]() |
| From Department of Defense (Pickhardt et al) database: 18-mm cigar-type polyp in cecum missed by CTC but detected by CAD. Images courtesy of Dr. Hiroyuki Yoshida, Rockey et al. |
Based on an analysis of all retrospectively visible lesions at CT, "CAD was able to detect about 68% of false negatives across all polyp size ranges, which was actually the false negatives (that occurred) in the prospective reading," Yoshida said.
Therefore, if readers were to accept all true-positive CAD detections, "then sensitivity is going to be up to 91% across all ranges," Yoshida said. Broken down by study, sensitivity increased for both when CAD took over the reading.
- Duke trial: 63% unaided to 86% with CAD, a 35% increase in detection of adenomas larger than 8 mm
- DoD trial: 85% unaided to 96% with CAD, a 16% increase in adenomas larger than 8 mm
While CAD sensitivity was higher than unaided detection sensitivity in the DoD database, the improvement was not statistically significant.
"CAD yielded statistically significantly higher sensitivity in the detection of polyps larger than 8 mm with a low false-positive rate," Yoshida said. "If all CAD false-positives were eventually (recognized as such) by the readers, then sensitivity could have been raised from 70% to 90% when the two studies are combined."
By Eric Barnes
AuntMinnie.com staff writer
November 19, 2007
Related Reading
Polyp ranking scheme boosts CAD efficiency, October 1, 2007
Fully automated VC CAD system solves tagging problems, June 25, 2007
VC CAD ramps up detection of medium-sized polyps, March 12, 2007
CAD will be key to VC screening, September 13, 2006
VC CAD improves results for readers at all levels, April 7, 2006
Copyright © 2007 AuntMinnie.com






















