
Transporting critically ill children from intensive care units (ICUs) to radiology departments can be time-consuming and risky for physiologically unstable patients. Using a portable CT scanner resolves these issues, but does its use compromise image quality and diagnostic accuracy?
Not at all, according to radiologists from Emory University School of Medicine in Atlanta. They evaluated all portable CT studies performed in pediatric ICUs over the course of a year and compared them with exams performed with a stationary 64-slice MDCT scanner (LightSpeed VCT, GE Healthcare, Chalfont St. Giles, U.K.).
Dr. Unni Udayasankar, a pediatric radiology fellow, presented the results of this evaluation at the Society for Pediatric Radiology (SPR) annual meeting held in April in Boston.
Children's Healthcare of Atlanta at Egleston began using a portable CT scanner (CereTom, NeuroLogica, Danvers, MA) in 2009. The scanner enabled CT exams to be performed more rapidly after being ordered for pediatric ICU patients, because delays caused by the logistics of arranging for transport and the transport time itself were eliminated.
Workflow in the CT suite also was more efficient, and fewer medical staff members were involved in the CT exam process. Most important, the process was safer for patients, especially critically ill neurosurgical patients on invasive multimodality monitoring who often required regular complex therapeutic interventions, Udayasankar said.
But were the portable CT images of comparable diagnostic quality? And how did radiation dose differ?
The radiologists conducted a retrospective review of all portable CT scans performed between April 2009 and March 2010. Eighty-eight exams of 76 patients (age range, 1 month to 19 years) were reviewed. The exams included 77 head CT scans without contrast, 10 contrast-enhanced body CT scans, and one head CT angiography exam.
Images were evaluated and ranked on a scale of 1 (unacceptable) to 4 (excellent) for image quality and diagnostic acceptability. Regions of interest were placed in similar locations within the scans to measure image noise.
Thirty-eight of the patients also underwent stationary CT exams during the same hospital admission, and these exams were similarly evaluated. The radiologists also conducted a phantom study in which an American College of Radiology (ACR) CT dose index head phantom was scanned on both scanners using standard parameters.
For a head CT exam, both scanners used a kVp of 120. The portable scanner had an mA of 7 and an mAs of 14; the stationary scanner had an mA of 170 and an mAs of 170.
The portable CT scanner delivered marginally higher radiation dose. The dose-length product (DLP) was 442 and mSv was 1.01 for the portable scanner, compared with 441.1 DLP and 0.94 mSv for the stationary system.
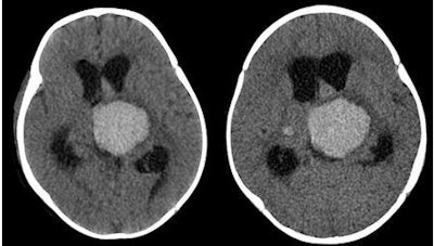
![]() |
| Images are of a 7-month-old female with parenchymal and intraventricular hemorrhage. Left, portable CT; right, standard MDCT. Images courtesy of Children's Healthcare of Atlanta at Egleston, Department of Radiology. |
"All images from the portable CT scanner were diagnostically acceptable," Udayasankar said. "Both groups of images had an average rank of 3 with respect to image quality and 4 for diagnostic acceptability. While image noise was slightly greater with the portable unit, there was no significant perceived difference in image quality obtained from the portable and stationary scanners."
"We also reviewed hospital records to evaluate patient management," he said. "Portable CT exams aided in clinical decision-making in 55% of the cases, and none of these patients required additional CT studies during their hospital stay."
Udayasankar recommended that low-dose protocols could be used with the portable CT scanner to reduce the amount of radiation, and he also suggested that further studies be conducted.
By Cynthia E. Keen
AuntMinnie.com staff writer
May 10, 2010
Related Reading
NeuroLogica launches CT dose-reduction technology, November 30, 2008
Portable CT brings lower costs, reduced risk to ICU, September 10, 2008
Copyright © 2010 AuntMinnie.com




















