Monday, November 27 | 3:00 p.m.-3:10 p.m. | SSE06-01 | Room N228
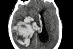
Postmortem CT may be just as accurate as conventional autopsy for identifying cause of death, Dutch researchers have found.Autopsy is the reigning standard for postmortem diagnosis, but worldwide clinical autopsy rates have declined to less than 10%, Lianne Sonnemans from Radboud University Medical Center in Nijmegen told AuntMinnie.com. One of the key deterrents to autopsy may be its invasive nature, which can stir up social and emotional objections.
Less-intrusive alternatives to autopsy, such as CT angiography, have demonstrated potential in ascertaining the cause of death of patients. With this in mind, the group set out to determine the extent to which postmortem CT could facilitate or replace autopsy.
The researchers performed whole-body postmortem CT scans on 86 cadavers before autopsy. Postmortem CT helped the radiologists significantly improve clinical diagnosis as to the cause of death, type of pathology, and anatomic region involved.
The additional information provided by postmortem CT helps clarify the cause of death and also helps evaluate the healthcare provided to the patient, according to the researchers.
"We consider [postmortem CT] a useful addition in determining the cause of death, especially in cases where there is no consent for an autopsy," Sonnemans said. "We anticipate that the enabling of [postmortem CT] will lead to a reduction of invasive autopsy examinations."



















