
The number of new confirmed cases of coronavirus disease (COVID-19) in China hit roughly 15,000 within the past 24 hours alone, a major increase, according to news reports. The surge follows a decision by Chinese officials to expand the diagnostic criteria for COVID-19 to include cases diagnosed with CT.
At the start of the coronavirus outbreak, the standard method used to confirm a diagnosis of COVID-19 in individuals was nucleic acid testing with reverse transcription polymerase chain reaction (RT-PCR). This lab-based confirmation method, however, requires a relatively lengthy processing time that was proving to be less than ideal for managing the coronavirus epidemic.
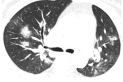
What's more, multiple case reports showed that DNA testing occasionally failed to confirm COVID-19 in individuals whose CT scans indicated the presence of the coronavirus. In response, the Chinese National Health Commission on February 5 announced that it had revised its official diagnosis and treatment scheme for COVID-19 to add "clinical diagnosis" through a set of clinical symptoms and chest CT findings as an auxiliary testing method exclusively for cases in Hubei.
"The nucleic acid test result is the gold standard for the final diagnosis of novel coronavirus infections, but those who have a negative nucleic acid test result may see positive CT imaging results," Dr. Zhang Xiaochun from Zhongnan Hospital of Wuhan University said in a statement released by the National Health Commission. "The [CT-based] method may help ease the difficulty in conducting nucleic acid tests in a short period of time, helping control the epidemic."
Shortly following this shift in its diagnostic approach, the National Health Commission reported that the number of new confirmed cases had reached an all-time high of 14,480 on February 12 -- a dramatic spike from the average daily increase of roughly 2,000 cases, according an article published on February 12 by Reuters. Using the former, lab-based method to diagnose COVID-19 would have resulted in the confirmation of only 1,508 new cases during the same period. (In a recent update, the article noted that the tally of total confirmed cases may actually be closer to 15,152.)
The increase in confirmed cases includes many retrospectively diagnosed cases that were not initially confirmed using the standard lab-based method, which points more to a previous understatement of the breadth of the virus' reach than to any sort of acceleration in disease dissemination, the article noted.
Chinese officials also reported that 242 people in Hubei province died from COVID-19 on Wednesday, the largest daily rise in deaths in the region since the start of the outbreak. Nearly 60,000 people have been infected, with 1,367 deaths in China alone.
Chinese scientists are currently testing the effectiveness of two antiviral drugs, though chiefs from the World Health Organization have cautioned that a vaccine could take 18 months to procure.




















