
CT is currently not recommended as a first-line diagnostic or screening tool for COVID-19, but its use to understand and manage the disease continues to grow. In response, the RSNA proposed standardized CT reporting language for COVID-19 in a special report posted on March 25 in Radiology: Cardiothoracic Imaging.
The U.S. Centers for Disease Control and Prevention (CDC) recently issued a statement recommending against routine chest CT for diagnosis or exclusion of COVID-19, despite evidence from early research suggesting that CT could potentially benefit disease detection. Most guidelines released by major radiology organizations and societies, including the American College of Radiology, correspond to the CDC recommendations.
Using CT to diagnose COVID-19 has many drawbacks, such as conflicting reports about its true sensitivity and specificity, as well as its tendency to limit clinicians' options for patient management, wrote Dr. Harold Litt, PhD, from the University of Pennsylvania and fellow radiologists from various U.S. institutions. In addition, COVID-19 often produces a CT pattern that mimics several different disease processes, which can complicate interpretations and trigger a cascade of events.
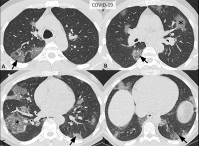
Images of a 52-year-old man confirmed to have COVID-19 showing typical CT features, including bilateral, multifocal rounded ground-glass opacity (asterisks) and peripheral ground-glass opacity (arrows) with superimposed interlobular septal thickening and crazy-paving pattern (i.e., visible intralobular lines). Image courtesy of the RSNA.Structured reporting in the setting of COVID-19 could help address some of these issues and increase efficiency in medical care during the ongoing pandemic, Litt and colleagues noted. A standardized reporting system for COVID-19 findings on CT could result in other benefits as well, including the following:
- Improving radiology report quality and clarity
- Enhancing referring providers' understanding of radiological findings
- Helping uncover COVID-19 in individuals with atypical presentations
- Encouraging repeat testing with reverse transcription polymerase chain reaction (RT-PCR) assays for suspected individuals who have negative results on initial testing
- Facilitating future education, research, quality improvement, and management pathways
To that end, the group proposed four categories for standardized reporting language for CT findings related to COVID-19:
- Typical appearance: Commonly reported CT findings of greater specificity for COVID-19 pneumonia, including peripheral, bilateral ground-glass opacity, and crazy-paving pattern. Principal differential diagnoses include viral pneumonias, especially influenza, and acute lung injury patterns such as organizing pneumonia.
- Indeterminate appearance: CT findings reported in COVID-19 cases but not specific enough for a relatively confident diagnosis, such as diffuse ground-glass opacity lacking a specific distribution.
- Atypical appearance: Uncommon CT features that are more typical of other diseases, such as lobar or segmental consolidation without ground-glass opacity in the setting of bacterial pneumonia.
- Negative for pneumonia: No features of pneumonia evident on CT, e.g., ground-glass opacity, consolidation, or parenchymal abnormalities attributable to infection.
"At this time, CT screening for the detection of COVID-19 is not recommended. ... However, we anticipate that the use of CT in clinical management as well as incidental findings potentially attributable to COVID-19 will evolve," the authors wrote. "We believe it important to provide radiologists and referring providers guidance and confidence in reporting these findings and a more consistent framework to improve clarity."




















