
Could radiography actually have a role in the imaging of coronary artery disease -- especially in an era when coronary calcium scoring with CT is all the rage?
A new article suggests there may indeed be potential for radiography -- in its latest technologically evolved incarnation -- to serve as the elusive low-cost option for heart disease screening.
The report by Dr. Robert Gilkeson and other radiologists from the University Hospitals of Cleveland in Ohio appears in the latest American Journal of Roentgenology (November 2004, Vol. 183:5, pp. 1233-1238).
While coronary calcium can be spotted with conventional radiographs, that approach has proved to have poor sensitivity -- around 50% or worse -- in formal studies. The key to radiography's renewed potential is digital technology, which has enabled the utilization of dual-energy techniques with both computed radiography (CR) and digital radiography (DR) systems.
![]() |
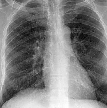
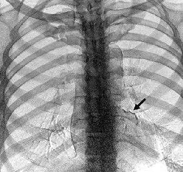
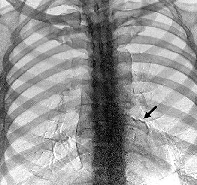
| Sixty-seven-year-old man who underwent dual-energy subtraction radiography for preoperative evaluation. Above, conventional posteroanterior chest digital radiograph is unremarkable. Below, subtracted bone image shows evidence of linear calcification (arrow) in distribution of left coronary artery, which is consistent with coronary artery calcification. Gilkeson RC, Novak RD, Sachs P, "Digital Radiography with Dual-Energy Subtraction: Improved Evaluation of Cardiac Calcification," (AJR 2004;183: 1233-1238). |
![]() |
Previous research has shown that single-exposure dual-energy subtraction on a CR system generates a soft-tissue-subtracted image that improves the detection of parenchymal lung nodules. In the latest study, images from a direct DR system (Revolution XR/d, GE Healthcare, Waukesha, WI) were evaluated for detection of coronary artery calcification.
Patient x-rays were taken at 120 kVp and 60 kVp, enabling the routine generation of three images after postprocessing: a standard 120 kVp image, a subtracted soft-tissue image, and a subtracted bone image. In patients with suspected cardiac calcification on the low-energy bone image, the radiologist was asked to rate visualization of coronary calcification on that image compared to the standard posteroanterior and lateral radiographs.
The researchers identified 42 patients with suspected cardiac calcification on dual-energy subtracted bone images, 33 of whom had also undergone non-ECG-gated scans with multidetector CT within six months of their radiographic examination.
"Of the 33 patients with suspected cardiac calcification on dual-energy digital radiography, all 33 had confirmed CT evidence of cardiac calcification," the authors wrote. "Suspected coronary artery calcification on dual-energy digital radiography was also confirmed in all 33 patients on CT, and valvular and myocardial calcifications were proven in three of the 33 patients."
The comparison with CT images also confirmed a limitation of the present dual-energy techniques, which is that left and right coronary artery calcifications were not equally visible on radiography even though all patients showed bilateral calcification on CT.
Despite that limitation, the researchers expressed enthusiasm for radiography's potential in this area.
"Further research is needed to define the full potential of dual-energy subtraction radiography in the evaluation of cardiovascular disease," the authors concluded. "However, our early experience points to an exciting potential for dual-energy subtraction digital radiography to provide a low-cost noninvasive tool for the evaluation of atherosclerotic cardiac disease."
By Tracie L. Thompson
AuntMinnie.com staff writer
November 1, 2004
Related Reading
Scan centers take heart in 'Clinton syndrome', September 16, 2004
Most MDCT scanners fall short in cardiac imaging, September 3, 2004
Study validates cheap and easy method for atherosclerosis screening, July 30, 2004
Coronary calcium score is an effective prognostic tool for patients with diabetes, May 24, 2004
Radiologists correlate coronary calcium with other CVD markers, April 6, 2004
Copyright © 2004 AuntMinnie.com





















