
Patients with COVID-19 who require invasive mechanical ventilation are more likely to experience barotrauma such as pneumothorax and pneumomediastinum than those without the disease, according to research published online July 2 in Radiology. And younger patients with COVID-19 were particularly at risk for these serious events.
A research team from New York University (NYU) Langone Health led by Dr. Georgeann McGuinness retrospectively compared rates for barotrauma associated with ventilation in patients with COVID-19 and those without the infection over a six-week period. They found that 15% of the patients had at least one barotrauma event, compared with 0.5% of the group of patients without COVID-19.
"High barotrauma rates in patients with COVID-19 infection on [invasive mechanical ventilation] is associated with longer hospital stay and is a risk factor for higher mortality," the authors wrote. "Barotrauma risk is particularly important to recognize as these critically ill patients may be managed by staff less familiar with the management of ventilator settings."
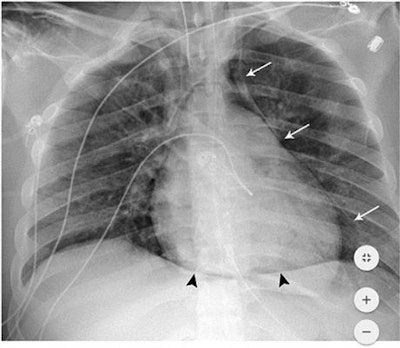
The NYU Langone researchers had observed a higher incidence of barotrauma in patients with COVID-19 and sought to determine if the disease was a risk factor for these events, which include pneumothorax, pneumomediastinum, pneumopericardium, and subcutaneous emphysema.

After calculating the barotrauma rate in 601 patients with COVID-19 (mean age of 63 ± 15 years) who had underwent invasive mechanical ventilation from March 1 to April 6, the researchers then compared those results with that of 196 patients without COVID-19 who also received ventilation during the same time period. To provide a historical, pre-COVID-19 comparison, they also tabulated the barotrauma rate for patients with acute respiratory distress syndrome (ARDS) who had received ventilation during the previous four years.
Barotrauma rates in patients receiving invasive mechanical ventilation at NYU Langone Health | |||
Patients with ARDS from 2016-2020 | Patients without COVID-19 from March 1 to April 6 | Patients with COVID-19 from March 1 to April 6 | |
One or more barotrauma events | 28 of 285 (10%) | 1 of 196 (0.5%) | 89 of 601 (15%) |
The difference in barotrauma rates for the patients with COVID-19 was statistically significant (p < 0.01) for both the ARDS patient group and the group of patients without COVID-19.
"Our observed high rate of barotrauma in patients with COVID-19 infection on [invasive mechanical ventilation] may support emerging theories of lung damage in SARS-CoV-2 infection," they wrote.
Delving further into the data, the researchers found that barotrauma is an independent risk factor for death in patients with COVID-19 (odds ratio = 2.2, p = 0.03). They also concluded that a longer hospital length of stay (p < 0.001) and younger age (p < 0.04) were independent risk factors for barotrauma in COVID-19 cases requiring ventilation.
The researchers noted, however, that they did not find any differences in mortality rate and overall survival for patients with COVID-19 with and without barotrauma.
"This may be because, while older age is a risk factor for death, barotrauma in our COVID-19 cohort was less likely to occur in older patients," they wrote.