
American Cancer Society statistics estimated 11,500 new cases of cervical carcinoma and total deaths of 3,670 from the disease in 2007. With these numbers, FDG-PET/CT should become an integral part in evaluating patients with high-risk cervical cancer to determine the most appropriate therapy, according to a recent study by researchers from Stanford University in Stanford, CA.
The group found that FDG-PET/CT was a valuable tool in identifying residual and recurrent cervical cancer, as well as distant metastases localization.
Dr. Andrei Iagaru, who presented the results at the 2007 RSNA meeting in Chicago, said researchers delved into FDG-PET/CT and cervical carcinoma because previous studies for sensitivity and specificity were based on dedicated PET acquisitions, rather than the combination of PET/CT.
With PET/CT, "the sum is better than the parts, because putting the two of them together increased both the sensitivity and specificity of the modalities," he said. "We were able to identify what we believe is a reasonable number of patients that were studied for specificity of cervical carcinoma, and we were prompted to review this data and research the abstract."
Research criteria
The retrospective study included 30 women with cervical carcinoma between the ages of 28 and 87 years, with an average age of 49.6 years. The women also had received a whole-body PET/CT scan at Stanford between January 1, 2003, and August 31, 2006. Reinterpretation of the imaging studies for accuracy and data analysis from medical records were performed.
Sensitivity and specificity were calculated with pathology results (76% of the patients) of clinical follow-up (24% of the cases) as the gold standard.
A total of 42 scans were performed, with 18 patients receiving one scan and 12 patients receiving two scans. All patients had the study requested for disease restaging. The administered doses of FDG ranged from 10.5 mCi to 20 mCi (average 15.3 ± 2.31).
PET/CT showed sensitivity of 92.8% (95% CI: 66.4 to 99.9) and specificity of 92.8% (95% CI: 76.3 to 99.1) for detecting the primary lesion. For metastases detection, PET/CT displayed a sensitivity of 95.6% (95% CI: 77.3 to 99.9) and specificity of 94.7% (95% CI: 73.5 to 99.9).
The maximum standard uptake values (SUV) ranged from 5.3 to 28.2 for the primary lesions (average 12.5 ± 6.96) and 2.8 to 22.9 for the metastases (average 7.72 ± 4.46). The statistical difference was significant, according to the researchers.
![]() |
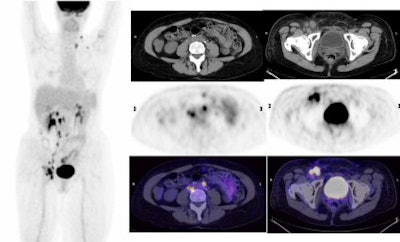
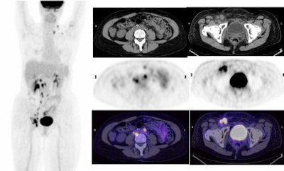
| Above and below, a 55-year-old woman with cervical carcinoma. Lymph node metastases are seen on the transaxial PET, CT, and fused PET/CT images. All images courtesy of Stanford University. |
![]() |
'Encouraging' results
The PET/CT results for both the primary lesions and metastases are "encouraging," Iaguru said. "Granted, that is a subgroup we selected with patients with advanced disease, so the primary lesions are not very subtle, but an interesting note is the detection of the distant metastases."
With these results as a foundation, Standard researchers plan to expand the study beyond its initial 30 patients. "It is at least a good step to suggest further patient accrual," Iagaru said. "We are encouraged by these results to go further and try attempt a prospective trial with our colleagues in oncology and radiation therapy, which would involve PET/CT for staging and more toward response to treatment for these patients."
Planning for the follow-up trial currently is under way.
By Wayne Forrest
AuntMinnie.com staff writer
January 18, 2008
Related Reading
Study shows benefits of very delayed cerebral FDG-PET imaging, December 21, 2007
PET does not predict survival in advanced lung cancer, November 29, 2007
FDG-PET/CT accurately detects inflammatory breast cancer, November 27, 2007
Lack of IV contrast causes discrepancy in CT with PET scans, November 22, 2007
FDG-PET works for nose cancer staging, study finds, November 15, 2007
Copyright © 2008 AuntMinnie.com






















