
A study 20 years in the making reveals that SPECT combined with the radioactive compound iodine-123 (I-123) FP-CIT distinguishes dementia with Lewy bodies from Alzheimer's disease. Dementia with Lewy bodies is what is believed to have led to actor Robin Williams' suicide.
The radioactive compound I-123 FP-CIT binds to dopamine transporters located on the membrane of dopamine-producing neurons that are abundant in the striatum. The striatal dopamine-producing neurons are depleted in dementia with Lewy bodies, but not in Alzheimer's disease.
A research team led by Dr. Durval Costa, PhD, head of the radiopharmacology lab at the Champalimaud Experimental Clinical Research Program in Lisbon, and colleagues, acquired imaging data from patients in 1996-1999 and followed them until their deaths (February 2021, Journal of Neurology, Neurosurgery and Psychiatry).
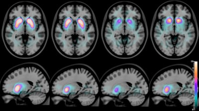
SPECT images, superimposed on an MR atlas, of an axial slice (top row) and a sagittal slice (bottom row) of the human brain, with a quantitative artificial-color scale showing the differences in the average distribution of the radioactive compound [I-123] FP-CIT in the striatum of healthy controls, Alzheimer's disease, dementia with Lewy bodies, and Parkinson's disease (from left to right). Images courtesy of Francisco Oliveira and the Champalimaud Centre for the Unknown.For the first time, autopsies confirm the SPECT images not only differentiate dementia with Lewy bodies from Alzheimer's Disease but also from Parkinson's disease, according to the authors. They also hope that eventually their technique will help to differentiate Parkinson's disease patients with dementia from dementia with Lewy bodies patients.



















