
Looking to take SPECT to the next level, researchers are developing a new system based on eight digital cadmium zinc telluride (CZT) detectors surrounding the patient. The system could offer faster scans and better image quality in patients, especially those with brain conditions.
While a complete system is yet to be built, in early phantom tests the SPECT-CZT technology produced image acquisition up to three times faster than conventional SPECT scanners and higher-resolution images when digital brain phantoms were compared, according to a study published online March 11 in Medical Physics. The new system also ultimately could lead to improved workflow and significant reductions in radiation doses for patients and staff.
"Our proposed system has approximately 2-3.3 times reduction in scan time, up to 1.7 times improved volume sensitivity, and reasonable spatial resolution for a brain study when compared to the conventional dual-head scanner," said Youngho Seo, PhD, lead investigator and director of nuclear imaging physics at the University of California, San Francisco.
SPECT is used for the management of brain and neurological conditions, cardiac conditions, and bone disorders. Due to their physical and mechanical characteristics, conventional SPECT scanners have relatively poor spatial resolution and low photon-detection sensitivity. In the last few decades, solid-state radiation detectors such as CZT have been developed to replace more commonly used scintillation crystals and photomultiplier tubes.
At the heart of the new design is a variable-aperture ring geometry (small detector modules moving radially in and out) that would allow the researchers to image subjects within the field of view in high resolution in all possible angular positions. Their system comprises eight large-area CZT detectors, as opposed to conventional SPECT systems with two-head Anger detectors.
"Our design feature includes a variable-aperture full-ring geometry to overcome the limited field of view and independently swiveling detectors to minimize the interference between each detector," Seo explained.
To evaluate the imaging performance of their proposed SPECT-CZT system, they used digital phantoms and realistic digital brain phantoms for conventional SPECT systems with comparable pixel sizes and radii of rotation. The proposed scanner offered image acquisition results up to approximately three times faster in acquisition time over conventional scan time at the same acquisition time per step.
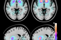
The 3D activity map (left) and the 3D reconstructed images for the brain perfusion study using the three configurations of the conventional scanner and a proposed SPECT eight-ring CZT scanner in AS-3 and AS-5 acquisition modes with 100 iterations and post-processed using a 3D Gaussian filter with a sigma of 1 pixel. Image courtesy of Youngho Seo, PhD.The spatial resolution improvement, or deterioration, of the proposed scanner compared with the conventional scanner was dependent upon the location of the point source, the researchers noted. However, the overall performance improvements over the conventional scanner were measured by an increase in volume sensitivity of up to 1.7 times.
"This encouraging result warrants further studies to realize the full potential of our new system design for general-purpose studies, such as fully 3D bone SPECT with acquisition strategy optimization of radial positions using large-area CZT cameras," the researchers concluded.





















