
Functional MRI (fMRI) showed changes in two areas of the brain in military veterans with post-traumatic stress disorder (PTSD) who improved their ability to manage thoughts through mindfulness training, according to a study in the April issue of Depression and Anxiety.
Researchers from the University of Michigan and the Veterans Affairs (VA) Ann Arbor Healthcare System analyzed fMRI scans from 23 veterans of the wars in Iraq and Afghanistan who received some form of group therapy.
Before any therapy, fMRI scans of the veterans' brains registered extra activity in regions involved in responding to threats or other external problems, indicating hypervigilance, which is often seen in PTSD.
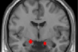
Functional MRI highlights two brain regions where veterans trained in mindfulness saw the greatest increases in connections. Image courtesy of the University of Michigan/VA Ann Arbor.Even when they were asked to rest quietly and let their minds wander freely, the patients had high levels of activity in brain networks that control reactions to external signals, such as threats or dangers. Meanwhile, the default mode network (DMN), involved in inwardly focused thinking and when the mind is wandering, was not as active.
The 23 veterans were divided into two groups: 14 received mindfulness training, while nine received a VA-developed intervention that included problem-solving and group support but no mindfulness therapy (Depress Anxiety, April 2016, Vol. 33:4, pp. 289-299).
After months of weekly sessions, the 14 veterans who received mindfulness training reported that their PTSD symptoms had lessened, though the effect did not differ significantly from the results in the control group.
Most interestingly, the researchers were able to track the improvement in the mindfulness group on fMRI. Those who received mindfulness training developed stronger connections between two brain networks: one associated with inner, sometimes meandering thoughts, and another involved in shifting and directing attention.
The mindfulness training may have helped the veterans become better able to shift their attention and escape painful cycles of thoughts, explained lead author Anthony King, PhD, from the university's department of psychiatry, in a statement.
King noted the small size of the study and that further research is needed. He also emphasized that people with PTSD should not see mindfulness alone as a potential solution, and that they should seek providers trained specifically in PTSD care.


.fFmgij6Hin.png?auto=compress%2Cformat&fit=crop&h=100&q=70&w=100)





.fFmgij6Hin.png?auto=compress%2Cformat&fit=crop&h=167&q=70&w=250)











