
MRI scans of some 200 healthy older adults revealed that each person's brain anatomy is unique and influenced by a combination of genetic factors and individual life experiences.
The discovery, by researchers from the University of Zurich, advances previous knowledge on how skilled activities, such as playing music and sports, and lack of movement over a shorter period of time can affect brain characteristics.
"We suspected that those experiences having an effect on the brain interact with the genetic makeup so that over the course of years every person develops a completely individual brain anatomy," said study co-author Lutz Jäncke, PhD, a professor of neuropsychology, in a release from the university.
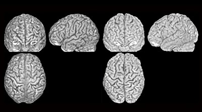
Three MRI scans (front, side, and above) of two different brains (left and right) that belong to twins. The furrows and ridges differ between the two people. Image courtesy of Lutz Jäncke, PhD, University of Zurich.For the study, Jäncke and colleagues imaged brains of 191 healthy older people using MRI three times over a period of two years. More than 450 brain anatomical features were assessed, including general ones such as total volume of the brain, thickness of the cortex, and volumes of grey and white matter (Scientific Reports, April 4, 2018).
The researchers identified individual combinations of specific brain anatomic characteristics among all 191 subjects.
"The combination of genetic and nongenetic influences clearly affects not only the functioning of the brain but also its anatomy," he concluded.




















