
Radioembolization with yttrium-90 (Y-90) shows promise in treating breast cancer patients whose disease has spread to the liver and who have exhausted all other treatment options, according to a study presented at the Society of Interventional Radiology (SIR) annual meeting.
Y-90 radioembolization stabilized disease in 98.5% of treated liver tumors, the researchers found. The patients were between the ages of 26 and 82 years, they did not respond to chemotherapy, and their liver metastases were too large or too numerous to treat with other therapies.
"We believe it is an emerging therapy in patients with little or no other treatment options," said study co-author Dr. Robert Lewandowski, associate professor of radiology at Northwestern University Feinberg School of Medicine. "We found that in these disease states we can improve the quality of life compared to other local therapies, we have a very high disease control rate, and it is an outpatient procedure."
Microbead therapy
Y-90 radioembolization is an intra-arterial transcatheter therapy in which an interventional radiologist inserts a catheter into the artery in the groin and guides it to the hepatic artery.
Y-90 microbeads are then administered into the bloodstream; these microbeads travel to the smaller vessels that feed the tumor and deliver radiation. Because Y-90 directly targets the tumor, radiation damage to healthy surrounding tissues is minimized.
Cancer will metastasize to the liver in 50% of patients who develop breast cancer, Lewandowski noted.
"Once it spreads to the liver, the prognosis worsens," he said. "These patients may develop liver failure due to tumor progression, and they may not be able to receive therapies because the liver is not functioning well enough."
Because Y-90 therapy is well-tolerated and effective for other types of cancers, such as primary liver cancer and metastatic colon cancer, Y-90 radioembolization is gaining interest in treating other cancers that spread to the liver.
In their study, Lewandowski and colleagues evaluated 75 women (mean age, 53.7 years) with breast cancer who received 98 Y-90 treatment cycles from 2001 to 2013 at two institutions. The patients had limited or no other therapy options and failed to respond to multiple lines of chemotherapy.
Among the participants, 85% had multiple liver tumors, and 77% had disease outside of the liver. Cancer had spread to the bone in 56% of patients, to the lungs in 25%, and to the brain in 13%. In 17 women (22.7%), metastatic disease was confined to the liver.
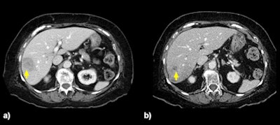
An 82-year-old woman with a 4.5 x 3.3-cm solitary tumor (a) in the right lobe. CT five months later (b) shows a reduction in size to 1.3 x 1.3 cm after two right lobar treatments at 93 Gy followed by 119 Gy. This patient had isolated liver metastases and remained free of extrahepatic disease 666 days after the first Y-90 treatment. Images courtesy of Dr. Robert Lewandowski.CT follow-up was available for 69 (94.5%) of 73 living participants. The scans showed that 29 individuals (42%) had a partial response with Y-90 radioembolization, while 40 (58%) experienced stable disease with no progression.
PET imaging was available for 25 patients; of this group, three (12%) had a complete response, 18 (72%) had a partial response or stable disease, and four (16%) showed disease progression.
Median survival for patients with less than 25% tumor burden was 278 days, compared with 119 days for those with 25% or greater tumor burden, according to the researchers.
It's too soon to tell if Y-90 radioembolization could extend a patient's life, Lewandowski noted.
"If we can treat the patients in a safe manner, maintain their quality of life, and prevent the disease from growing and spreading, typically that ultimately will end up giving them a survival advantage, but that is something that needs to be borne out in a future study," he said.
In terms of adverse events, 5% to 7% of patients had abdominal pain that limited their lifestyle, but the condition resolved within a few weeks of therapy. "In general, the vast majority of patients did not have worsening of their liver function, despite this high-dose radiation to the liver," Lewandowski said.
Patients were warned about the possibility of fatigue after the procedure, which could last about a week or two, as well as the possibility of abdominal pain that typically does not require any pain medication.
"The thing we worry about most is ulcers," he said. "If these [Y-90] beads get outside the liver and go to the stomach, we can have a significant problem. Again, with experience, at most major centers the chance of an adverse event like that is very low -- less than 1%."
For these cancer patients with no other treatment options, Y-90 radioembolization is an alternative to chemotherapy, is easily tolerated, and can be performed on an outpatient basis, Lewandowski concluded.


















