Dear AuntMinnie Member,
Is there an end in sight to the ongoing shortage of iodinated contrast media? Hopeful signs emerged this past week as GE Healthcare announced that a manufacturing plant in Shanghai, China, is expected to be close to full production capacity the week of June 6.
The disruptions have affected supplies of GE's Omnipaque and Visipaque contrast agents, and they began after a series of lockdown measures imposed by Chinese authorities in Shanghai interrupted manufacturing at the plant. This has had a ripple effect, particularly in the U.S., and many radiology facilities have had to triage some imaging exams to conserve contrast supplies.
It may take some time for radiology to get back to normal. And over the long term, questions remain as to whether hospitals and imaging centers will take the steps necessary to mitigate the impact of supply chain disruptions in the future.
Meanwhile, our friends at Healthcare Administrative Partners offered their review of the situation in an article this week.
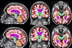
Long-term COVID
Researchers and public health experts have been grappling to explain "long COVID," a set of symptoms that persist in individuals long after they've recovered from the acute phase of COVID-19. A new study illustrates the challenge in understanding the condition -- individuals who reported long-term symptoms did not have any differences from normal controls on brain imaging scans.
Also in our CT Community, you'll find the following stories:
- A study on the use of whole-body CT to reduce the amount of time patients with lower extremity fractures spend in the emergency room.
- CT illustrates how well COVID-19 vaccines work, with unvaccinated patients having higher prevalence of pneumonia and more severe disease based on scores derived from CT data.
- Research indicates that letting nonphysician providers order imaging exams does not lead to imaging overutilization.
Radiologist expert witnesses
Finally, visit our Imaging Leaders Community, where a new study has found that radiologist expert witnesses may not be so different after all, regardless of whether they're working for the plaintiff or the defense.
Another study found inequities in the rates of imaging use in the emergency department in children of different racial and ethnic backgrounds, while research presented at last month's Society of Breast Imaging/American College of Radiology meeting revealed how a woman's race and education can affect her perception of mammography reports.



















