SINGAPORE -- Auntminnie.com spoke with ultrahigh-field MRI expert Nicolas Boulant, PhD, of the NeuroSpin research center near Paris, at the International Society for Magnetic Resonance in Medicine (ISMRM) annual meeting.
Boulant channeled the classic spaghetti Western movie “The Good, the Bad, and the Ugly” to describe his team’s early clinical experience neuroimaging 20 subjects using ultrahigh field 11.7 tesla MRI – to date, the highest magnetic field MRI used in humans, he said.
“The ‘good’ is simple. We know very well from long experience and theories that as you increase the field strength simply you get more potential,” he noted.
Boulant discussed the 'good' in early experiences using 11.7 tesla MRI
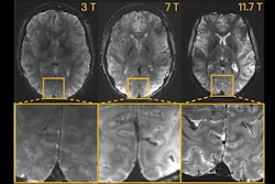
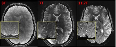
In one experiment, the group imaged three subjects using three different MRI scanners configured with exactly the same parameters and compared the images. The differences are clear, and it’s a “no brainer” that 11.7 tesla reveals superb brain details, Boulant said.
Caption: T2*-weighted 2D GRE acquisitions at 3T, 7T, and 11.7T (different volunteers). Sequence parameters : FA = 27°, TR = 600 ms, TE = 20 ms, resolution = 0.2 × 0.2 × 1 mm3, GRAPPA = 2, bandwidth = 40 Hz/px, TA = 4 min 20 s. Acquisitions were performed with 1 (body coil) Tx-32Rx, 8Tx-32Rx, and 8Tx-32Rx head coils at 3T, 7T, and 11.7T respectively.Image courtesy of Nicolas Boulant, PhD
The “bad,” however, which refers to challenges that yet need to be overcome with the technology, is that as you increase MRI field strength to these ultrahigh levels, simple laws of nature begin to affect the quality of the acquired images, leading to artifacts, or “distortions” in the images, Boulant said.
Boulant discussed the 'bad' in early experiences using 11.7 tesla MRI
Finally, the metaphorical “ugly” in experiences using 11.7 tesla MRI refers to the fact that it takes more and more resources to tackle the challenges that have been identified so far, both technological and regulatory, Bouland said. However, these challenges are to be expected when you are doing something this advanced in humans for the first time, he noted.
Boulant discussed the 'ugly in early experiences using 11.7 tesla MRI
Ultimately, perhaps most significantly, the experiments have proven the technology safe for human use, with no adverse events reported in the 20 patients imaged so far, Bouland said. 11.7 tesla MRI constitutes a unique platform to learn new physics, develop and merge new technologies, and open new horizons to explore the human brain in vivo, he said.

















