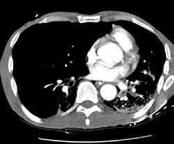
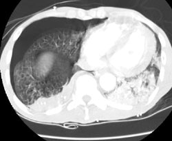
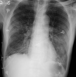
CT PE exam: Alternative diagnosis
The CT PE exam shown below demonstrates bilateral air space disease and a right pneumothorax that was not evident on the patients CXR (Click CXR to enlarge). The CT-PE exam can suggest an alternative diagnosis to explain the patients symptoms in 10-50% of cases.






















