Squamous Cell Carcinoma:
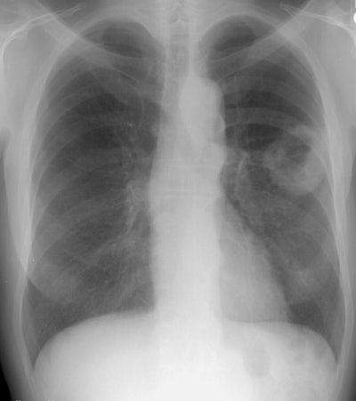
The patient below presented with a large cavitary squamous cell carcinoma in the left lung. Squamous cell carcinoma is the most likely to cavitate.

The patient below presented with a large cavitary squamous cell carcinoma in the left lung. Squamous cell carcinoma is the most likely to cavitate.
