
بقلم: الدكتور جمال الدين القطيش ،الكاتب المساهم في
حليمة بي. ساريبادا ، الكاتبة المساهمة في
الدكتورة ميسم طارق أبو صاع ، الكاتبة المساهمة في
تعد قسطرة شرايين الرحم (UAE) أحد التطورات المتميزة في مجال صحة المرأة في القرن الحالي حيث أصبحت بديلا موثوقا آمنا و فعالا للمعالجة الجراحية التقليدية لتليفات الرحم والتي تعتبر الأورام النسائية الحميد ة الأكثر شيوعا.
لقد تم إطلاق قسطرة شرايين الرحم (UAE) في دولة الإمارات العربية المتحدة قبل عدة سنوات، وذلك ضمن التطورات الكبرى في تطوير خدمات الرعاية الصحية بشكل عام وتنمية الأشعة التداخلية والنسائية بشكل خاص.
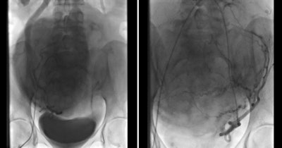
قسطرة شرايين الرحم
العملية
لقد أثارت قسطرة شرايين الرحم اهتمامًا عالميًا كبيرًا منذ أن تم استخدامها لأول مرة لمعالجة أعراض أورام الرحم الليفية في فرنسا في عام1995 . إن مبدأ قسطرة شرايين الرحم هو عبارة عن وقف تزويد أورام الرحم الليفية بالدم والغذاء مما يؤدي إلى ضمورها وانكماشها تدريجياً . ويتم تحقيق ذلك عن طريق حقن جزيئات مجهرية في شرايين الرحم من خلال القسطرة دون تدخل جراحي.

الجزيئات المجهرية المستخدمة في قسطرة الأورام الليفية الرحمية في مستشفى العين في مايو 2014تم توفير جميع الصور من قبل الدكتور جمال القطيش.
السلامة والفعالية
أكدت الدراسات الدولية أن قسطرة أورام الرحم الليفية تعد علاجًا أمناً وفعالاً حيث يصل إجمالي النجاح التقني إلى 95٪. كما وأظهرت هذه الدراسات نجاحاً مبهراً في السيطرة والتخلص من الأعراض المصاحبة لتليفات الرحم مثل غزارة دم الطمث و آلام الدورة الشهرية بالمقارنة مع عملية استئصال الأورام الليفية في الرحم واستئصال الرحم. وعلاوة على ذلك، فإن فترة النقاهة بعد قسطرة شرايين الرحم تكون أقصر وفقدان الدم يكون أقل بالمقارنة مع عمليتي استئصال الرحم و استئصال الأورام الليفية بحيث تعود المرأة بعد عملية القسطرة إلى حياتها خلال خمسة أيام.
المرضى المرشحين للاستفادة من قسطرة شرايين الرحم
تعتبر معظم النساء المصابات بأعراض أورام الرحم الليفية مرشحات لإجراء قسطرة شرايين الرحم ما لم توجد الموانع لذلك. إلا أن الفحص والتقييم الطبي لكل المرضى من قبل أطباء أمراض النساء و أطباء الأشعة التداخلية يعتبر الحجر الأساسي للممارسة الطبية اللائقة.
والموانع المطلقة هي احتمال وجود حمل، ووجود الأورام الخبيثة النسائية المؤكدة أو المشتبه فيها. وأما الموانع النسبية، فهي تشمل أمراض تميع الدم والحساسية من المادة الظليلة المستخدمة للقسطرة، والقصور الكلوي، والتهاب بطانة الرحم والحوض.
قسطرة شرايين الرحم في الإمارات العربية المتحدة
لقد تم إدخال قسطرة شرايين الرحم في أبو ظبي، عاصمة دولة الإمارات العربية المتحدة، في عام 2009 من قبل الدكتور جمال الدين القطيش، مدير قسم الأشعة ورئيس قسم الأشعة التداخلية في مستشفى توام ومستشفى العين. وقد تمكن من إنشاء أحدث وأشهر عيادة لعلاج الأورام الليفية بالقسطرة في الشرق الأوسط ومقرها مستشفى العين في غضون ثلاث سنوات.

الفريق الطبي بقيادة الدكتور جمال الدين القطيش في مستشفى العين خلال إجراء عملية قسطرة شرايين الرحم.
فنحن نقوم بمعالجة أكثر من 100 حالة سنويا، و نتلقى الإحالات من دول في مجلس التعاون الخليجي والشرق الأوسط. وعلاوة على ذلك، يقوم العديد من المرضى بإحالة أنفسهم إلى عيادة الأورام الليفية في مستشفى العين من خلال شبكة الإنترنت أو أطبائهم.
كما تم اتخاذ الإجراءات لجعل العملية متوفرة في معظم المستشفيات الكبرى في أبوظبي. وقد أدى هذا إلى تقدم كبير في جودة الخدمات الصحية المقدمة للمرضى الإناث في دولة الإمارات من قبل مستشفيات أبوظبي للخدمات الصحية (SEHA).
ويتم النقاش حول طريقة العلاج لجميع الحالات في اجتماعات الفريق الطبي المتعدد التخصصات داخل قسم أمراض النساء قبل أن يتم تنفيذ عملية القسطرة. وقد بدأ العديد من أطباء أمراض النساء في الإمارات العربية المتحدة تقديم عملية قسطرة شرايين الرحم كخيار علاجي لمرضى الأورام الليفية أثناء التشاور معهم و عند مناقشة خيارات العلاج الإضافية.
تحضير المرضى
يتم إحالة المرضى الذين يعانون من أعراض الأورام الليفية الرحمية إلى عيادة الأشعة التداخلية لإجراء مزيد من التقييمات وخطط المعالجة. ويتم مراجعة بيانات المرضى، والقصة السريرية، والفحص البدني، و نتائج عمليات التصوير و فحوصات المختبر ومن ثم شرح العملية لجميع المرضى ويتم الحصول على موافقة منهم. كما ويتم إخبار جميع المرضى عن مزايا هذه العملية، ومعدل نجاحها، و مخاطر الفشل، والاختلاطات و البدائل المتاحة .

مسألة الخصوبة والحمل بعد القسطرة
إن عملية معالجة الألياف بالقسطرة تحافظ على الرحم والخصوبة وهذا الجانب مهم جدًا في دولة الإمارات العربية المتحدة نظرا إلى خاصية مرضى الألياف الرحمية حيث أن كثير من النساء شابات وغير متزوجات ويرغبن في الحفاظ على خصوبتهن وذلك ما يجعل خيار استئصال الرحم مرفوض في معظم الحالات.
لقد تم الإبلاغ عن نتائج إيجابية فيما يتعلق بالحمل الناجح إثر إجراء القسطرة فلدينا مريضات حوامل بعد إجراء القسطرة ولدينا مريضات وضعن بعد القسطرة وبدون أي مشاكل.
معالجة الألم والاختلاطات
يتم إجراء عملية القسطرة بأكملها في نفس اليوم على جميع المرضى، و يخرجون من المستشفى في مساء اليوم ذاته وتتم معالجة الألم عن طريق استخدام أقوى المسكنات ومضادات الالتهاب للسيطرة على الألم بعد القسطرة كما وتتم مراقبة المرضى عن كثب بعد العملية لتشخيص أي اختلاطات في وقت مبكر ومعالجتها.
يمكن أن تحدث اختلاطات مرتبطة بقسطرة شرايين الرحم في 4٪ من الحالات. وتعتبر آلام الحوض من أكثر الاختلاطات شيوعا من جراء هذه العملية، وقد تستمر لثلاثة أيام. أما إذا استمر الألم أكثر من ذلك فلا ينبغي تجاهله وينبغي استبعاد الاختلاطات مثل التهاب بطانة الرحم، وتشكيل خراجات الحوض. أما التعقيدات الأخرى فهي نادرة نسبيا.
الخلاصة
أصبحت عملية قسطرة شرايين الرحم من أكثر الطرق العلاجية الحديثة شيوعًا وأمانًا في معالجة الأورام الليفية في معظم دول العالم لأنها تحافظ على الخصوبة وتبقي الرحم و تجرى خلال يوم واحد وتعود المريضة إلى حياتها الطبيعية خلال خمسة أيام بدون جروح أو قطب.
يعمل كل من الدكتور جمال الدين القطيش، والدكتورة ميسم طارق أبو صاع، و حليمة بي. ساريبادا، في قسم الأشعة التداخلية في مستشفى توام ومستشفى العين في دولة الإمارات العربية المتحدة.
المراسلات: الدكتور جمال الدين القطيش، مستشفى العين، البريد الإلكتروني: [email protected]، الهاتف 00971501029900
الاستشهادات
- Gonsalves C. Uterine artery embolization for treatment of symptomatic fibroids. Semin Intervent Radiol. 2008;25(4):369-377.
- Bradley LD. Uterine fibroid embolization: a viable alternative to hysterectomy. Am J Obstet Gynecol. 2009;201(2):127-135.
- Pelage JP, Fauconnier A. Uterine fibroid embolization: where are we and where should we go? Ultrasound Obstet Gynecol. 2005;25:527-534.
- Okolo S. Incidence, aetiology, and epidemiology of uterine fibroids. Best Pract Res Clin Obstet Gynaecol. 2008;22(4):571-88.
- Kazmi A. New procedure offers safer alternative to fibroid surgery. GulfNews.com. April 29, 2012. http://gulfnews.com/news/gulf/uae/health/new-procedure-offers-safer-alternative-to-fibroid-surgery-1.1014871. Accessed May 20, 2014.
- Ravina JH, Herbreteau D, Ciraru-Vigneron N, et al. Arterial embolisation to treat uterine myomata. Lancet. 1995;346(8976):671-672.
- Worthington-Kirsch RL. Uterine artery embolization: state of the art. Semin Intervent Radiol. 2004;21(1):37-42.
- Khan AT, Shehmar M, Gupta JK. Uterine fibroids: current perspectives. Int J Womens Health. 2014; 6:95-114.
- Banu NS, Gaze DC, Bruce H, et al. Markers of muscle ischemia, necrosis, and inflammation following uterine artery embolization in the treatment of symptomatic uterine fibroids. Am J Obstet Gynecol. 2007;196(3):213.e1-5.
- Al Shami H, Alkoteesh J. Interventional radiology in obstetrics and gynaecology. Total Radiology. 2013;1.
- Spies JB, Pelage JP. Uterine Artery Embolization and Gynecologic Embolotherapy. Philadelphia: Lippincott Williams & Wilkins; 2005:3-18.
- Worthington-Kirsch RL, Fueredi GA, Goodwin SC, et al. Polyvinyl alcohol particle size for uterine artery embolization. Radiology. 2001;218(2).
- Pron G, Bennett J, Common A, et al. The Ontario Uterine Fibroid Embolization Trial. Part 2. Uterine fibroid reduction and symptom relief after uterine artery embolization for fibroids. Fertil Steril. 2003;79(1):120-127.
- Walker WJ, Pelage JP. Uterine artery embolisation for symptomatic fibroids: clinical results in 400 women with imaging follow up. BJOG. 2002;109:1262-1272.
- Goodwin SC, Spies JB, Worthington-Kirsch R, et al. Uterine artery embolization for treatment of leiomyomata: long-term outcomes from the FIBROID Registry. Obstet Gynecol. 2008;111(1):22-33.
- Spies JB, Ascher SA, Roth AR, et al. Uterine artery embolization for leiomyomata. Obstet Gynecol. 2001;98(1):29-34.
- Narayan A, Lee AS, Kuo GP, et al. Uterine artery embolization versus abdominal myomectomy: a long-term clinical outcome comparison. J Vasc Interv Radiol. 2010; 21(7):1011-1017.
- Smith SJ. Uterine fibroid embolization. Am Fam Physician. 2000;61(12):3601-3607.
- Firouznia K, Ghanaati H, et al. Uterine artery embolization for treatment of symptomatic fibroids: a review of the evidence. Iran Red Crescent Med J. 2013;15(12):e16699.
- Bulman JC, Ascher SM, Spies JB. Current concepts in uterine fibroid embolization. Radiographics. 2012;32(6):1735-1750.
- McLucas B, Goodwin S, Adler L, et al. Pregnancy following uterine fibroid embolization. Int J Gynaecol Obstet. 2001;74(1):1-7.
- Carrillo TC. Uterine artery embolization in the management of symptomatic uterine fibroids: an overview of complications and follow-up. Semin Intervent Radiol. 2008;25(4):378-386.


















