
يعتبر الاستئصال الجراحي للورم الليفي الرحمي العلاج التقليدي للمريضات اللواتي يرغبن بالحمل ويعانين من الأورام الليفية الرحمية قي الوقت ذاته.
تتميز معالجة الأورام الليفية الرحمية عن طريق القثطرة بأنها أبسط و بأن نسبة المشاكل والاختلاطات أقل مقارنة بالجراحة كما أن نسبة الحمل بعد القثطرة تقريبا متساوية.
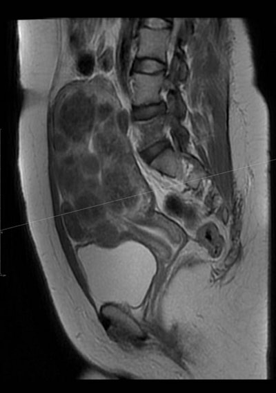
الأورام الليفية الرحمية :
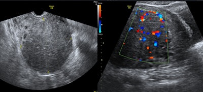
الأورام الليفية الرحمية عبارة عن أورام حميدة في الرحم يمكن لها أن تتسبب في إطالة فترة وغزارة نزف الدورة الشهرية والذي قد يكون شديداً في بعض الحالات لدرجة أنه يسبب فقر دم ويتطلب نقل دم للمريضة و اعطاء حقن الحديد.

كما قد يعاني مرضى الأورام الليفية الرحمية من ألم في الحوض يمكن أن يعيقهم عن ممارسة حياتهم اليومية، إحساس بالضغط في الحوض، تكرار التبول، ألم أثناء الجماع، إجهاضات، تأثير على الإنجاب، كما أنه قد يسبب ضخامة كبيرة في الرحم تشبه الحمل.
حوالي 15-30% من النساء العربيات فوق عمر 35 سنة يعانين من الأورام الليفية الرحمية. كما أن عدداً كبيراً من النساء يتأخرن في الزواج و الحمل إلى سن الثلاثين من العمر والذي هو السن المتوقع لحدوث الأورام الليفية الرحمية.
لوحظ أن خطورة الأورام الليفية الرحمية على الحمل ونوع الاختلاطات الناجمة له علاقة بحجمها، عددها، ومكانها. بالتأكيد فإن العقم يحدث عندما تكبر الألياف لدرجة تتسبب فيها بإغلاق أحد أنبوني فالوب أو كلاهما او عندما يملء الرورم جوف الرحم.
بالإضافة لما سبق فإن الأورام الليفية الرحمية تترافق بنسبة عالية من الإجهاض عندما تنمو وتكبر داخل جوف الرحم الذي هو مكان انغراس الجنين (تحت المخاطية، أو داخل جوف الرحم).
يعتبر الاستئصال الجراحي للورم الليفي الرحمي العلاج التقليدي للمريضات اللواتي يرغبن بالحمل ويعانين من الأورام الليفية الرحمية.
عادة ما تكون هذه الطريقة فعالة وخاصة إذا كان الورم وحيداً ويتوضع على الغلاف الخارجي للرحم أو إذا كانت الأورام صغيرة الحجم وقليلة العدد و لكن كلما زاد العدد زادت خطورة النزف اثناء الجراحة مع احتمال استئصال الرحم.
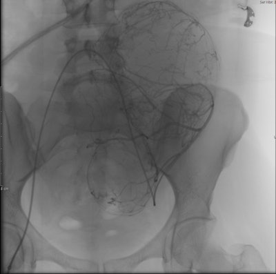
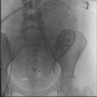
خلال عملية معالجة الورم الليفي الرحمي بالقثطرة.
تتميز معالجة الأورام الليفية الرحمية عن طريق القثطرة بأنها أبسط و بأن نسبة المشاكل والاختلاطات أقل مقارنة بالاستئصال الجراحي حيث يتم اجراء القسطرة بدون تخدير عام و ياخذ الاجراء 45 دقيقة و تخرج المريضة من المشفى في نفس اليوم.
يمكن إجراء المعالجة بالقثطرة للمريضات في الحالات التالية:
في حالة الورم الوحيد، في حال عدة أورام، ورم كبير، أو في حال أن طبيب الجراحة النسائية الذي يجري الجراحة غير متأكد من إمكانية لجوئه لاستئصال الرحم خلال العملية أو أن تكون العملية غير ناجحة، أو في حال حدوث الأورام الليفية الرحمية مرة ثانية بعد الجراحة.
كما يمكن أيضاً إجراء المعالجة عن طريق القثطرة للنساء اللواتي لا يرغبن بالعملية الجراحية كغير المتزوجات او لأسباب لها علاقة بالبيئة الاجتماعية، للمريضات اللواتي لديهن عوامل خطورة عالية مثل البدانة و السكري و الضغط،وعند النساء اللواتي لا يرغبن باستئصال الرحم لما له من آثار سلبية عند معظم النساء.كما يمكن علاج الالياف الرحمية بتقنية القسطرة في اي عمر و يبقى اهم استطباب هو في النساء الغير متزوجات.

نتائج الدراسة الاولى في الشرق لعلاج التليفات الرحمية بالقسطرة التي اجريت في مشفى العين من قبل الدكتور جمال القطيش و فريقه الطبي و شملت 210 مريضات
تبعاً لما يعتقد بأنها اكبر دراسة الأولى في الشرق الأوسط فإن معالجة الأورام الليفية عن طريق القثطرة تتم عبر قطع التروية الدموية للأورام الليفية المسببة للاعراض وتتمتع بنسب متقاربة مع الجراحة من ناحية الأنجاب للنساء اللواتي يرغبن بالحمل.

إن هذه الدراسة تمت في مستشفى العين وقدمت قبل طباعتها في مؤتمر الصحة العربي في دبي الإمارات العربية المتحدة يناير 2016 وفي مؤتمر أبو ظبي السنوي للأمراض النسائية أوكتوبر 2015 وفي مؤتمر أبو ظبي كليفلاند كلنك للأشعة في 2015 وفي المؤتمر السنوي لطب الاسرة في الامارات 2015.
في هذه الدراسة اختارت معظم النساء العلاج بالقثطرة كطريقة لمعالجة العقم بعد فشل الاستئصال الجراحي للأورام الليفية الرحمية أو بعد فشل عملية الاخصاب الاصطناعية، أو لأن استئصال الرحم كان العلاج الوحيد لبعض الاحالات.
من بين 210 مريضات تمت معالجتهن بالقثطرة , 35 امرأة كانت أقل من 40 سنة من العمر وترغب في الحمل ولم تتمكن من الحمل.
يعتبر سن اليأس المبكر, استئصال الرحم, والتعرض للأشعة من الأسباب التي قد تمنع الإنجاب عند معالجة الأورام الليفية بطريقة القثطرة وقد تحدث أضافة الى مضاعفات أخرى عند عدد قليل جدا من المرضى (أقل من 4%).
نادراً ما تسبب الأورام الليفية بحد ذاتها العقم ولكنها قد تكون عاملاً مسبباً للإجهاض.
نصحت المريضات اللواتي شاركن في الدراسة بالانتظار مدة 6 أشهر أو أكثر بعد القثطرة قبل محاولة الحمل, وقد تراوح الوقت المنتظر لمحاولة الحمل بين (33-7 شهراً) معدل 20 شهرا.

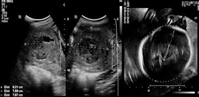
عند مراجعة ملفات المريضات اللواتي رغبن في الإنجاب وخضعن للمعالجة عن طريق القثطرة بعمر أقل من 40 سنة (35 مريضة) بين عامي 2011- 2016 تم تسجيل 23 حالة حمل عند 18 مريضة بينها 5 حالات أجهاض. وفي حالتين أخريين مختلفتين حدثت ولادة مبكرة.
من بين ال 23 حملاً كان 16 حملاً طبيعياً واستمر حتى نهايته.
15 امرأة حملت لمرة واحدة, أربع نساء حملن لمرتين, باقي النساء لم تتمكن من الحمل.
في هذه الدراسة لم يسجل أية حالة تأخر نمو داخل الرحم ,او مشاكل للجنين خلال الولادة , أو مشاكل تتعلق بالرحم نفسه.
تم تسجيل مشاكل بسيطة عند مريضتين ( نقص بسيط في السائل الأمنيوسي , ومشيمة منخفضة).


عند مجموع النساء اللواتي حصلن عندهن الحمل فان 16 من 18 حملاً استمر بشكل طبيعي بدون أي مشاكل (86%). اما الولادة فكان هناك 8 ولادات قيصريةو 10 ولادات طبيعية.
إن مجموعتنا (23 حملا) كانت صغيرة نسبيا لكنها أثبتت نجاح الحمل بعد معالجة الأورام الليفية بالقثطرة.
إن نسبة الحمل (45.7%) التي تحققت عند النساء أصغر من 40 سنة واللواتي أكملن الحمل تضاهي نسبتها عند النساء اللواتي خضعن لعمليات جراحية لإستئصال الأورام الليفية.
من بين النساء في الدراسة اللواتي حصل عندهن حمل فان الحمل استمر طبيعيا عند 86% منهن.
بالمقارنة مع استئصال الورم الليفي الرحمي بالجراحة عن طريق فتح البطن والذي كانت نسبة اكمال الحمل فيه 10-46%.
عبر تنظير البطن 16-33%
عبر تنظير الرحم 8-35%
إن هذا يدل على أنه من الأفضل اللجوء الى معالجة الأورام الليفية الرحمية عن طريق القثطرة كخيار أول (طريقة تحافظ على الخصوبة).
إن البيانات المتوفرة لدينا تفترض أن الخصوبة تزداد أكثر عند النساء اللواتي تعالجن بالقثطرة قبل أي طريقة أخرى.

أهمية الدراسة:
إن هذه الدراسة مهمة جداً لأنها تظهر مقارنة بين نسبة الحمل بين طريقتين مستخدمتين على نطاق واسع لعلاج الأورام الليفية الرحمية مع الحفاظ على الرحم. العلاج عن طريق القثطرة والعلاج عن طريق استئصال الورم الليفي بالجراحة واللتان تعتبران أهم وسيلتين لعلاج الأورام الليفية الرحمية عند النساء اللواتي يرغبن بالحمل.
الأدوات التي تستخدم عادة في علاج الأورام الليفية الرحمية بالقثطرة:Robert catheter, microcatheter, and embolization particles.
لقد كانت النتائج مفاجئة لأنه توجد دراسات أخرى قديمة صغيرة تفضل استئصال الورم الليفي بالجراحة على العلاج بالقثطرة بالنسبة للنساء اللواتي يرغبن بالحمل مستقبلا.
من أصل 210 نساء في هذه الدراسة حقق العلاج بالقثطرة نسبة حمل وصلت لي 47% وهذا قريب من نسبة الحمل بعد عملية الاستئصال الجراحي التي تبلغ 38%.
أثبتت الدراسة أن معالجة الأورام الليفية الرحمية عن طريق القثطرة تسمح للنساء الغير قادرات على الحمل أن يحملن وأن يكون الحمل طبيعياً وبنسبة خطورة واختلاطات كباقي النساء رغم كونهن مصنفات كحالات عالية الخطورة.
ربما يصبح علاج الأورام الليفية الرحمية بالقثطرة العلاج الأول حتى بالنسبة للنساء اللواتي يرغبن بالحمل وهن غير قادرات على ذلك بسبب الأورام الليفية الرحمية.
باعتبار أن استئصال الأورام الليفية عن طريق الجراحة يعتبر صعباً جدا عند النساء في حالة وجود أعداد كبيرة من الأورام في العضلة الرحمية أو تحت المخاطية ( في جوف الرحم) وباعتبار أن نسبة عودة تشكل الأورام الليفية الرحمية قد تكون أعلى بعد الولادة فان العلاج بالقثطرة يوفر بديلاً يحفظ القدرة على الانجاب عند عدد كبير من المريضات المصابات بالتليفات الرحمية.
الخلاصة والاستنتاج:
تم إثبات إمكانية الحمل بعد معالجة الأورام الليفية الرحمية بالقثطرة بدون اي شكوك.كما اثبتت الدراسة ان نسبة نجاح العلاج بالقسطره تتجاوز 95% كما اثبت ايضا في معظم الدراسات العالمية الكبرى في البرتغال و فرنسا و بريطانيا و اميركا.
إن خطر حدوث العقم, سن اليأس المبكرة واستئصال الرحم والتعرض للأشعة تعتبر قليلة جدا بعد العلاج بالقثطرة و لا تتجاوز 4%.
إن هذه المخاطر اقل بكثيرمن المخاطر المرافقة للاستئصال الجراحي.
معدل القدرة على الانجاب بعد العلاج تماثل تلك بعد الجراحة.
لم تسجل أي مشاكل خطيرة خلال الحمل والولادة بعد علاج الأورام الليفية الرحمية بالقثطرة.
إن ما توصلنا اليه يثبت ما توصلت اليه مراكز أخرى بأن الرغبة في الحمل في المستقبل ليست سبباً في عدم إجراء علاج الأورام الليفية الرحمية بالقثطرة.

تعتبرهذه دراسة بسيطة لمريضات خضعن لعلاج الأورام الليفية الرحمية بالقثطرة في مركز واحد في الامارات العربية المتحدة وإن هناك حاجة لاجراء دراسات أخرى من مراكز مختلفة في المنطقة لمقارنة علاج الأورام الليفية الرحمية بالقثطرة مع العلاج بالاستئصال الجراحي.
بالنسبة للمريضات فإن اتخاذ القرار بإجراء علاج الأورام الليفية الرحمية بالقثطرة عند الرغبة بالحمل في المستقبل يعتبر قراراً معقداً وصعباً ولا يجب أن يتخذ هذا القرار إلا بعد استشارة أخصائي النسائية و أخصائي إخصاب وطبيب الأشعة التداخلية.
إنَّ الدكتور جمال الدين القطيش يعمل كرئيس قسم الأشعة التداخلية ومدير قسم الاشعة في مستشفى العين، بالإضافة إلى كونه أستاذ مشارك (بروفيسور)مشارك في قسم الأشعة في جامعة الإمارات العربية المتحدة، كما أنه عضو إستشاري في لجنة المراقبة والإعلان (AUNT MINI) في الشرق الأوسط. أن المعلومات والملاحظات الواردة في هذه المقالة لا تعكس بالضرورة رأي المجلة الناشرة (AUNT MINI) والمجلة لا تروج لي اي رأي طبي أو شركة أو جهاز معين وليس لديها اية مسؤولية عن المعلومات الواردة.
للتواصل و الاستفسارات يمكن التواصل مع الدكتورجمال القطيش بالاتصال على هاتف 00971501029900 [email protected]//[email protected].

















