
Having obese patients use handheld cotton bands to move belly fat during pelvic x-ray exams can reduce their radiation exposure and improve image quality, according to a study published March 17 in Radiography.
The technique is easy, inexpensive, and now recommended, based on their study, wrote a team led by Sejla Trozic of the University of Ljubljana in Slovenia.
"The use of cotton bands to remove adipose tissue during pelvic imaging in obese and overweight patients results in a reduction of radiation dose received by the patient and improves image quality," the group wrote.
Typically, anteroposterior (AP) x-ray images are acquired with patients in a supine position, yet in some cases pelvic radiography should be performed in an erect position because it provides more diagnostically useful information, the authors explained.
These cases can be challenging in obese patients, however. The researchers noted one previous study found that thickness of the pelvis increased by 17% (4 centimeters) on AP images when obese patients were moved from the supine to erect position (due to gravity's effect on soft tissue). This decreases image quality and increases radiation dose from the additional tissue to be imaged.
To address these challenges, the group tested whether radiation dose and image quality differ between two different erect pelvic radiographic procedures -- those with and without the displacement of anterior adipose tissue.
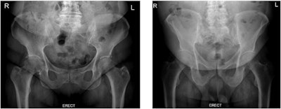
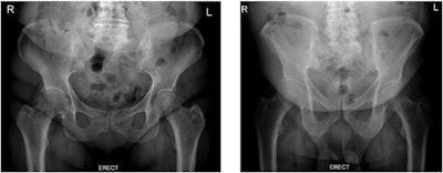
The researchers enrolled 60 overweight or obese patients referred for erect pelvic imaging between March 2020 and November 2020 at the Community Health Centre Ljubljana. Patients were randomly divided into two equal groups, half of whom displaced adipose tissue during the procedure and half of whom did not.

The radiographer who performed the exams properly positioned a thin cotton triangular bandage around patients, which they then held. Prior to the clinical study, the researchers had tested the material on an anthropomorphic phantom to ensure it would not be visible as an artifact.
In the group of patients using the fat displacement protocol, a statistically significant reduction in waist circumference (4.7%), dose area product (38.5%), entrance surface dose (44%), and effective dose (38.7%) were observed (p < 0.05), according to the findings.
In addition, a significant increase was found for all observed image quality criteria by three radiologists, the researchers noted.
"Image quality was generally better when patients had fat tissue displaced from the region of interest, as body part thickness decreased, resulting in improved contrast resolution and lower noise levels," the group wrote.
While the researchers noted limitations, they ultimately recommended additional fat displacement measures as a means of reducing radiation doses in these patients during pelvis exams.
"This technique is quick, easy, and inexpensive," they concluded.