
There's no cause for misgivings when CT pulmonary angiography is needed to rule out pulmonary embolism in a pregnant woman. CTPA not only provides the most definitive diagnosis available in such patients, it does so with less radiation than scintigraphy.
The Reston, VA-based American College of Radiology (ACR) apparently agrees, and is expected to issue new CTPA guidelines in the fall that specifically include the possibility of using CT to rule out PE in pregnant women.
At the 2005 Symposium on Multidetector-Row CT in San Francisco, Dr. Phillip Boiselle, who is director of thoracic imaging at Boston's Beth Israel Deaconess Medical Center and associate professor of radiology at Harvard Medical School, said that CT has a number of advantages over ventilation perfusion scintigraphy (VQ).
"(CTPA) has been shown time and time again to have high specificity and sensitivity, and I think one of the things that has helped it gain acceptance as well is the fact that when it's negative for PE, an alternative pulmonary or pleural diagnosis is often established," Boiselle said.
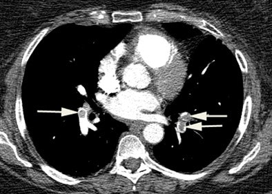
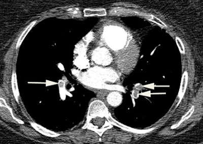
![]() |
| CT pulmonary angiography shows bilateral acute pulmonary emboli (arrows). Image courtesy of Dr. Phillip Boiselle. |
In contrast, the VQ scan, the only feasible replacement, often yields indeterminate results -- and a higher fetal radiation dose, he said.
A 2002 study in Radiology underpins this premise. It revealed that CT may in fact be the best choice. Twenty-three pregnant women underwent CTA to rule out suspected PE. The CT protocol was 100 mAs, 120 kVp, 2.5-mm collimation, and 11-cm scan length, whereas scintigraphy was performed with 37-74 MBq of radiolabeled technetium-99m.
Dr. Helen Winer-Muram and colleagues from the Indiana University School of Medicine in Indianapolis found that the mean fetal CT radiation dose (3.3-20.2 µGy during the first trimester, 7.9-76.7 µGy in the second trimester, and 51.3-130.8 µGy in the third trimester) was less than 6 mrad for CT compared to 10-37 mrad for the VQ scan (Radiology, August 2002, Vol. 224:2, pp. 487-492).
"Even when they increased the mAs to 200, CT still came out lower," Boiselle said. "CTA definitely comes out a winner in this paradigm. The fetal dose for both techniques (CT and scintigraphy) is well below the 5 rad limit that is considered safe for fetal exposure" (Gibbs SJ, "Basic Mechanisms of Radiation Injury, Somatic and Genetic," Radiation Risk: A Primer, ACR, 1996, pp. 5-13).
Perhaps more important, radiologists are getting the message, Boiselle said.
"What are experts in thoracic imaging doing? We asked that question a couple of years ago with a survey to the Society of Thoracic Radiology membership, and we found at that time roughly three-fourths of responding departments were performing CTA in pregnant patients," he said.
Slightly more than half of respondents were performing CTA rather than VQ as the initial imaging modality, and nearly half had modified their standard protocol to reduce the radiation dose, he said. Back in 2002, the most common way of reducing dose was to decrease the scan length in the z-axis. But many more dose-reduction tools are available today, Boiselle noted, "and it would be very interesting to see things like how people are using automatic exposure control, reduced kVp," and other techniques, he said.
No published study reflects the use of newer dose-reduction techniques, nor are there official guidelines to steer the imaging protocols for such patients. But help is on the way, Boiselle said. At the 2005 ACR meeting earlier this year, a resolution was passed to update the CT practice guidelines for CTPA.
"They directly mentioned that although the performance of CT for PE involves ionizing radiation, the estimated mean fetal dose may be lower than for perfusion scintigraphy if a reduced-dose technique is employed, referencing Winer-Muram," Boiselle said.
This language was included in a draft of the proposed guideline obtained by AuntMinnie.com, although the document does not include specific information about dose-reduction techniques for pregnant patients.
The new CTPA practice guidelines will take effect October 1, and will be available online shortly before that date, said Margaret Wyatt, the ACR's manager of guidelines and standards development, in a telephone interview. In the meantime, the public can access the existing practice guidelines in a PDF file on the ACR's Web site. The final guidelines will be posted in the same place in the ACR site's Guidelines and Standards section, she said.
Boiselle said that CTA's advantages over perfusion scintigraphy include a lower fetal radiation dose, its ability to directly identify the thrombus, fewer indeterminate results -- and not inconsequentially, the capability of identifying other causes of symptoms when there is no evidence of pulmonary embolism.
Still, doctors must remember that there is always a small risk of contrast reaction anytime a CTA study is performed, Boiselle said. He also listed three recommendations by radiology legal expert Dr. Leonard Berlin of Rush North Shore Medical Center, Skokie, IL, who enumerated a number of steps for reducing medicolegal risk in the imaging of pregnant women in general (AJR, December 1996, Vol. 167:6, pp. 1377-1379):
- Departments should have a process for evaluating patients who are pregnant.
- Radiologists should be knowledgeable about the effects of radiation, and accessible to patients and to the referring physician.
- All discussions with patients pertaining to risks should be documented in the radiology report.
By Eric Barnes
AuntMinnie.com staff writer
August 8, 2005
Related Reading
Widen that search: CTPA reveals more non-PE than PE diagnoses, May 18, 2005
Meta-analysis shows CT is sufficient to exclude PE, April 27, 2005
Multidetector CT does not improve outcomes of suspected PE, April 12, 2005
CT venography plus CTPA finds more pulmonary embolism, February 1, 2005
High noncardiac yield mandates rad involvement in CTA, November 11, 2004
Copyright © 2005 AuntMinnie.com





















