
Fecal tagging and reduced bowel preparation with iodinated oral contrast agents feasibly can be performed on the same day as a virtual colonoscopy exam, according to a new study from Italy presented at this month's RSNA meeting.
But some prep regimens work better than others, and with fewer side effects, concluded Dr. Riccardo Ferrari from the University of Rome "La Sapienza" in Italy. Which addresses precisely the question the researchers sought to investigate by comparing three same-day iodinated contrast regimens in 90 VC screening patients.
Same-day iodine-based tagging regimens, which tag stool and feces while providing a mild cathartic effect that is helpful for removing stool, are administered at the medical facility a couple of hours before VC (also known as CT colonography) scans are performed.
Among their advantages, same-day preps reduce the need for patients to change their dietary habits and follow tagging regimens at home. In addition, consuming iodinated agents at the doctor's office eases concerns that a rare allergic reaction to the iodine might occur outside of a controlled clinical setting.
"There is some evidence in the literature that reducing the amount of laxative did not affect image quality" in VC exams, Ferrari said in the presentation.
Ferrari cited a 2008 study by Dr. Sebastiaan Jensch et al from Academic Medical Center Amsterdam, which found that only minimal amounts of laxatives (20 mg bisacodyl) were needed in addition to the iodine-based oral contrast agent diatrizoate meglumine (DD) to yield good-quality images in minimal-prep virtual colonoscopy.
The screening subjects in the study arrived at the hospital and drank as much undiluted diatrizoate meglumine as possible in the two hours before they were scanned, Ferrari said. The agent has both a high iodine content (47.1%) and high osmolarity, which produces a mild cathartic effect, he said.
"We have to keep in mind that this is iodine contrast and it has to be given to patients only in the hospital," he said.
The study looked at three groups of 30 patients who underwent virtual colonoscopy after a same-day bowel preparation. Group 1 ingested 200 mL of undiluted DD the day of the exam, group 2 drank 100 mL of the agent the day of the exam, and group 3 ingested a low-dose polyethylene glycol (PEG) formula (macrogol) the two days before the exam, followed by 100 mL of DD the day of the exam.
"Low-dose virtual colonoscopy was performed two hours after the administration of oral contrast," Ferrari said. "Two radiologists in consensus evaluated the six segments of the colon" (rectum, sigmoid, descending, transverse, ascending, and cecum). Each segment was evaluated for image quality on a scale of one to four, with four being optimal, and any side effects were recorded, he said.
According to the results, the mean segment quality values were 2.8 in patient group 1, 2.6 in group 2, and 3.2 in group 3.
"We had the best results in group 1, group 3 had the medium result, and group 2 had the worst results," he said. "The main difference was in the cecum," which produced a mean quality score of 2.3 for group 1, 1.6 for group 2, and 3 for group 3.
![]() |
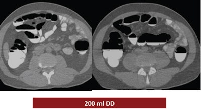
| Judged subjectively, the best overall prep quality was found in group 1, followed by group 3, with the worst results in group 2. By segment, the largest differences in quality were found in the cecum, with mean quality scores of 2.3 for group 1, 1.6 for group 2, and 3 for group 3. All images courtesy of Dr. Riccardo Ferrari. |
Although no side effects were seen in groups 2 and 3, there was mild diarrhea in group 1, he said. The mean number of evacuations was 8.3 in group 1, compared with fewer than three evacuations in groups 2 and 3. In same-day colon prep, there is not much time to mark the stool well, Ferrari said.
"Only three female patients had a high number of evacuations, and that's a point we have to investigate," he said. One other patient noted a transient headache that had resolved at follow-up.
Group 1 had the best-quality results, with well-marked colonic mucosa but significant residual fluid. The use of 100 mL DD combined with low-dose polyethylene glycol over two days may have improved fecal tagging by softening the stool before the ingestion of the iodinated agent. In addition, no side effects were reported among the patients who ingested the PEG preparation for two days before the exam (group 3), Ferrari said.
![]() |
| Above, the use of 200 mL DD in group 1 yielded the highest quality scores. While the colonic mucosa was well marked, significant volumes of fluid remained in the colon, similar to the 100 mL DD preparation (group 2, below). The use of 100 mL combined with low-dose polyethylene glycol over two days (bottom image) may have improved fecal tagging by softening the stool before the ingestion of DD. |
![]() |
![]() |
"This is a work in progress; we are working to reduce the quantity of DD further," he said. The investigators will also experiment with reducing the volume of PEG ingested before the study in that group.
The volume of diatrizoate meglumine may need to be linked to the weight of the patient to minimize side effects, Ferrari said.
"Only three female patients had diarrhea; it may be because their weight was not so high. Even 100 mL [of DD] caused very high side effects," he said. "Another point we would like to investigate is waiting more than two hours, or finding something to speed up progression of DD."
By Eric Barnes
AuntMinnie.com staff writer
December 16, 2008
Related Reading
Navajo Nation gets remote virtual colonoscopy screening, November 18, 2008
Dual-energy VC makes tagged materials disappear, October 29, 2008
Colonoscopy prep reportedly harder on women, October 28, 2008
Higher VC laxative dose burdens patients, doesn't improve reads, July 16, 2008
Tagging trials: Balancing image quality with patient acceptance in VC, April 16, 2008
Copyright © 2008 AuntMinnie.com























