
Combining automatic tube potential selection and tube current modulation with iterative reconstruction delivered consistently high-quality coronary CT angiography (CCTA) images with doses that were lower by one-third, according to a new study from Korean researchers in Radiology.
In the retrospective study of more than 200 patients, use of automated tube potential selection and tube current modulation along with advanced iterative reconstruction far outperformed the modulation group without iterative reconstruction. The study is the first to combine both techniques, wrote the research team from Yonsei University College of Medicine in Seoul.
Beyond dose reduction, the combination also significantly improved attenuation, contrast enhancement, and signal- and contrast-to-noise ratios, compared with use of filtered back projection (FBP) and adjusting kilovolt (kV) settings and tube current-time product (mAs) based on a patient's body mass index (BMI), the group wrote.
Combining advanced iterative reconstruction with automated tube potential selection and tube current modulation at coronary CT angiography "significantly improves objective image quality while maintaining diagnostic accuracy and reduced radiation dose," Dr. Young Joo Suh and colleagues wrote (Radiology, August 2, 2013).
Tube current modulation is promising for dose reduction, as it not only cuts radiation dose but also enhances iodine-induced contrast in applications such as CCTA, they noted.
However, the technique can increase image noise and impair image quality. Most facilities adjust kV and mAs according to the patient's body mass index, but a technique based on automatic tube potential selection with tube current modulation (APSCM, Care kV, Siemens Healthcare) automatically chooses the appropriate kV and mAs settings based on a user-selected contrast-to-noise ratio, according to the authors.
A recent study showed the dose reduction benefits of APSCM compared to BMI-based settings, but noise was greater in the resulting images. In this study, an advanced iterative reconstruction technique (sinogram-affirmed iterative reconstruction [SAFIRE], Siemens) was applied to improve the image quality of reduced-dose images acquired with APSCM.
"We hypothesized that the combination of an iterative reconstruction technique and APSCM may reduce image noise and improve objective image quality while maintaining the benefit of radiation dose reduction," they wrote.
Dual-source CT
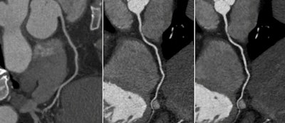
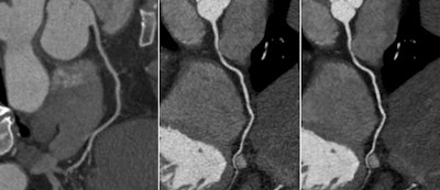
The study compared CCTA images between 185 patients whose kV settings were based on a BMI protocol and a group of 197 patients whose kV settings were based on the APSCM automatic protocol. The researchers processed the data from the latter group using two reconstruction techniques: filtered back projection and SAFIRE.
All images were acquired on a dual-source scanner (Somatom Definition Flash, Siemens) following administration of oral beta-blockers, sublingual nitroglycerin, and iodinated contrast injection.
Scans were obtained using an electrocardiogram (ECG)-triggered high-pitch spiral mode in patients with heart rates lower than 60 beats per minute (bpm), prospectively triggered axial mode in patients with heart rates higher than 60 bpm, and retrospective ECG gating in patients with irregular heartbeats. All scan modes were evenly distributed in both groups, the authors noted.
Diagnostic performance was compared to that of invasive coronary angiography, used as the gold standard, in a subgroup of 51 patients.
All APSCM acquisitions (reference 330 mAs, 120 kV) were acquired using Care kV and CareDose4D software (Siemens), and two datasets were reconstructed from each case, one using filtered back projection and the other using SAFIRE iterative reconstruction software, Suh and colleagues wrote. Reconstructions used a medium kernel and 0.75-mm slice thickness with 0.5-mm increment.
Lower dose, better image quality
According to the results, images from the APSCM group with SAFIRE showed a significant reduction in image noise and a significant increase in Hounsfield units (HUs), contrast enhancement, signal-to-noise ratio, and contrast-to-noise ratio compared with the APSCM group reconstructed with FBP (p < 0.0001) and with the BMI-based group (p < 0.001; except p = 0.002 for image noise).
Image noise was reduced by 29% on images obtained using APSCM with SAFIRE, and contrast-to-noise and signal-to-noise ratios increased by about 41%, compared with images from the APSCM group reconstructed using FBP, Suh and colleagues reported.
Performance of the 3 CCTA protocols | |||
Parameter | BMI-based group | APSCM with FBP | APSCM with SAFIRE |
Image noise (HU) | 31.2 | 40.2 | 28.4 |
CT number of coronary arteries (HU) | 484.0 | 533.1 | 531.4 |
Contrast enhancement of coronary arteries (HU) | 541.9 | 595.8 | 590.6 |
Signal-to-noise ratio | 16.0 | 13.8 | 19.4 |
Contrast-to-noise ratio | 17.9 | 15.4 | 21.7 |
CT dose index (CTDI) volume (all modes combined) (mGy) | 20.9 | 14.7 | |
CTDI flash | 3.5 | 2.7 | |
CTDI axial | 18.5 | 12.6 | |
CTDI spiral with tube current modulation | 48.3 | 33.4 | |
Sensitivity (segment based) | 92% | 94% | 94% |
Specificity | 96.2% | 94.5% | 95.5% |
In the APSCM group with FBP, contrast enhancement of coronary arteries was 10% higher as measured by Hounsfield units than in the BMI-based group, though signal-to-noise and contrast-to-noise ratios were lower. The APSCM group with SAFIRE maintained a higher mean CT number by 9.8% and higher contrast enhancement by 9%, while also showing 21% higher ratios compared to the BMI-based group.
As for radiation dose, the mean CT dose index volume was about one-third lower in the APSCM group compared to the BMI-based group (p = 0.0006). And even though the scan length was slightly longer in the APSCM group, the mean dose-length product remained significantly lower for APSCM patients, especially those imaged in axial mode.
There were no significant differences in image quality or accuracy between the three groups, and the use of automatic tube potential selection with tube current modulation resulted in a significant dose reduction compared to the BMI-based protocol, Suh and colleagues wrote.
"This study demonstrates that the combination of SAFIRE and APSCM reduces image noise and improves objective image quality while maintaining the benefit of radiation dose reduction when compared with the APSCM protocol with FBP and even with the previous BMI-based protocol," they wrote.

A previous study showed dose reduction with APSCM, but objective image quality suffered due to a 30% increase in noise, they wrote. Previous studies using iterative reconstruction have found no decrease in image quality when images were acquired at half the dose.
The decrease in image noise and increase in contrast-to-noise and signal-to-noise ratios observed in the APSCM group with SAFIRE in this study were comparable to those of previous studies, the authors noted.
When FBP reconstruction was applied, the use of APSCM resulted in a 10% increase in mean vascular CT attenuation and contrast enhancement compared with the BMI-based group; however, image noise rose by 29% -- a result the authors attributed to the larger number of CT scans being obtained with 80 kV and 100 kV in the APSCM group.
The use of iterative reconstruction in the automated tube current modulation scans didn't change the vascular CT values or contrast enhancement, but reduced image noise by 29%, offsetting and even overcoming the effects of image noise in the lower-dose scans.
Notably, dose reduction did not reach the levels attained in other studies; the difference was a function of the control groups, they wrote. The control group in the present study consisted of patients with kV and mAs based on BMI, while other studies examined patients using fixed kV and mAs settings.
"We can expect that the combination of SAFIRE and APSCM may provide an acceptable image quality with a more reduced radiation dose," Suh and colleagues wrote. "Stricter radiation dose reductions can be done in an APSCM setting with lower user-chosen contrast-to-noise ratio, making it possible to obtain acceptable image quality as well."
The main limitations of the study are the lack of randomization and the single-center source of data, though patients were enrolled consecutively, according to the authors.
Combining iterative reconstruction and APSCM in CCTA "can be a clinically applicable technique for reducing image noise and improving objective image quality while maintaining the benefit of radiation dose reduction," the group concluded.