
The case study of a 24-year-old man with lung damage from vaping provides hints to radiologists on what to look for in patients who present with characteristic symptoms and a history of electronic cigarette (e-cigarette) use, according to a special report published October 31 in Radiology: Cardiothoracic Imaging.
Health authorities raised the alarm about the hazards of vaping with tobacco and cannabis after a series of cases emerged in Illinois and Wisconsin in July 2019. Since then, other cases have come to light, leading the U.S. Centers for Disease Control and Prevention (CDC) to dub the condition EVALI (e-cigarette or vaping product use-associated lung injury).
In the new report, researchers present the case of a 24-year-old man with a history of e-cigarette use who presented with symptoms that included shortness of breath, productive cough, chest pain, and fever for one week. The case was contributed by Drs. Suhny Abbarra and Fernando Uliana Kay, PhD, from University of Texas Southwestern Medical Center in Dallas.
Abbarra and Kay wrote that radiologic findings on the individual's imaging exams included bilateral basilar predominant ground-glass and reticular opacities, with smaller areas of consolidation. The patient received some treatment with empirical antibiotic therapy. But when he failed to improve the next day, a chest CT angiography (CTA) study was performed for exclusion of pulmonary embolism.
The CTA exam demonstrated no pulmonary embolism was present; at this point, differential diagnoses included acute interstitial pneumonia and diffuse alveolar damage. Histology staining of specimens obtained from a transbronchial biopsy suggested lipoid pneumonia. Clinicians, therefore, began to suspect lung injury from vaping, and the patient was administered steroids.
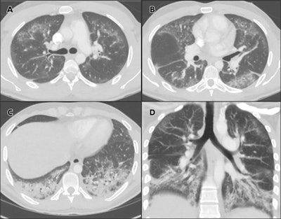
 Chest CTA images in 24-year-old man with a history of e-cigarette use. A-C, select axial sections of the lung presented on lung windows reveal patchy ground-glass opacities distributed bilaterally with some, A, B, subpleural sparing and, C, consolidation in the lung bases. D, coronal oblique thick-slab average intensity reconstruction shows the predominance of the findings in the basal lungs and demonstrates the peripheral subpleural sparing. Images courtesy of RSNA.
Chest CTA images in 24-year-old man with a history of e-cigarette use. A-C, select axial sections of the lung presented on lung windows reveal patchy ground-glass opacities distributed bilaterally with some, A, B, subpleural sparing and, C, consolidation in the lung bases. D, coronal oblique thick-slab average intensity reconstruction shows the predominance of the findings in the basal lungs and demonstrates the peripheral subpleural sparing. Images courtesy of RSNA.Abbarra and Kay wrote that their patient shared many of the same clinical and radiological features found in the cases reported from Wisconsin and Illinois, such as a combination of acute respiratory symptoms with fever and elevated white blood cell counts. These are suspicious for infection, which is typically excluded on further investigation.
Radiography findings on chest x-ray were nonspecific, consisting of bilateral and basilar predominant opacities; on CT these were confirmed to be a combination of ground-glass opacities and consolidation. Clinicians also observed relative preservation of the subpleural regions of the lungs, another feature reported in the Wisconsin and Illinois cases.
Abbarra and Kay believe that this latter phenomenon could be related to the main involvement of the central aspect of the secondary pulmonary lobule, which is believed to be a response to an inhaled agent.
The authors pointed out that the pathophysiology of EVALI is still unknown. CDC reports indicate that most cases represent exposure to cannabinoid products, some of which could have additives like vitamin E acetate, an unapproved substance.
The authors conclude that radiologists have an important role in recognizing vaping-associated lung injury and that there may be many more EVALI cases out there than the ones that have been reported to date.
"These cases are by no means comprehensive, and the publicly available data may represent only the tip of the iceberg," Abbarra and Kay wrote.




















