
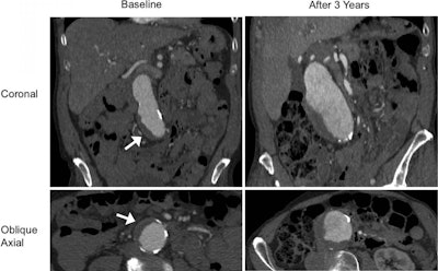
The presence of a blood clot on the MRI or CT scans of individuals with an abdominal aortic aneurysm (AAA) was associated with a twofold increase in the growth rate of aneurysms, potentially increasing their risk of rupture, according to a study published online January 28 in Radiology.
The researchers, led by Chengcheng Zhu, PhD, from the University of California, San Francisco, evaluated 225 AAA patients who underwent contrast-enhanced CT or black-blood MRI at a Department of Veteran Affairs medical center from January 2004 to December 2018. They followed patients for an average of 3.3 years, detecting an intraluminal thrombus in nearly 55% of the cases.
Whereas physicians generally recommend elective surgical repair for patients who have an AAA larger than 5.5 cm, they tend to favor imaging-based surveillance at six-month to three-year intervals for patients with an AAA smaller than 5.5 cm. However, this size-based management strategy fails to take into account other risk factors for AAA rupture, such as inflammation in the aorta and vessel wall stress, the authors noted.
In the current study, Zhu and colleagues discovered that the diameter and presence of a blood clot on the MRI or CT scans of AAA patients were independently associated with statistically significant increases in aneurysm growth rate (p < 0.001; p = 0.02).
To be specific, the overall growth rate of AAAs in patients with an intraluminal thrombus was 2 mm per year -- double the 1-mm per year growth rate of AAAs in patients who did not have a blood clot on CT or MRI (p < 0.001). For small AAAs (3 cm to 4 cm), the growth rate was 1.9-fold faster in patients with a blood clot than in those without one. For medium AAAs (4 cm to 5 cm), the growth rate was 1.2-fold faster in those with a blood clot.

"Our study looked at a large number of patients with a relatively long follow-up to confirm that thrombus is a new risk factor that may be potentially reported by radiologists. ... If in patients with a thrombus the aneurysm grows twice as fast, then shortening the surveillance interval could be considered," Zhu said in a statement.
More research is needed before the detection of blood clots on CT and MRI is integrated into clinical protocols for AAA, but the findings do stress the importance of identifying blood clots in routine surveillance imaging for the condition, he concluded.