
A study using CT to image the lungs of patients has found that people with small airways relative to their lung size may be at increased risk of chronic obstructive pulmonary disease (COPD), even if they don't have other risk factors, such as smoking or asthma. The research was published June 9 in JAMA.
The findings address the long unanswered question of why so many nonsmokers develop COPD, wrote a team led by Dr. Benjamin Smith of Columbia University Medical Center in New York City.
"Smoking tobacco is a major COPD risk factor, but despite decades of declining smoking rates in many countries, the corresponding decreases in disease burden have been modest," the group noted. "Although other factors have been linked to COPD (e.g., secondhand smoke, environmental or occupational pollutants, asthma), much of the variation in COPD risk remains unexplained."
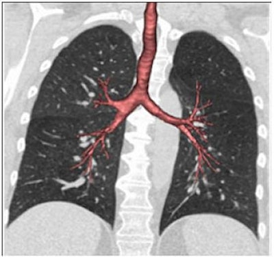
To investigate other factors that could cause COPD, Smith's group conducted research sponsored by the National Heart, Lung, and Blood Institute (NHLBI) -- part of the U.S. National Institutes of Health (NIH) -- that examined records of more than 6,500 older adults who participated in three studies that included both smokers and nonsmokers, with and without COPD. Each study used CT to assess lung capacity.
The studies included the following:
- The Multi-Ethnic Study of Atherosclerosis (MESA)
- The Subpopulations and Intermediate Outcome Measures in COPD Study (SPIROMICS)
- The Canadian Cohort of Obstructive Lung Disease (CanCOLD)
The MESA and CanCOLD studies found that participants with smaller airways relative to lung size were more likely to develop COPD compared with those with larger airways relative to lung size -- and this association remained even after typical COPD risk factors such as smoking, air pollutants, and asthma were taken into consideration.
Smith and colleagues then compared CanCOLD participants who never smoked but had COPD to participants in the SPIROMICS study who were heavy smokers but did not have the disease. The team found that the CanCOLD participants had smaller airways relative to lung size, while the SPIROMICS participants had larger-than-normal airways.


The study results offer an explanation for why some nonsmokers may develop COPD as they age, Smith said in the statement.
"These results show that small airways relative to lung size are a very strong risk factor for COPD," he said. "This helps us to understand why 30% of COPD can occur in people who never smoked."