
Results from a 20-year study show that annual low-dose CT lung cancer screening improves patient survival rates, according to research to be presented at the upcoming RSNA meeting.
How? By catching lung cancer early, said study lead author Dr. Claudia Henschke, PhD, of Icahn School of Medicine at Mount Sinai in New York City in a statement released November 22 by the RSNA.
"While screening doesn't prevent cancers from occurring, it is an important tool in identifying lung cancers in their early stage when they can be surgically removed," she said.
The American Lung Association (ALS) estimates the average lung cancer five-year survival rate to be about 18%, Henschke and colleagues noted. Only 16% of lung cancers are caught at an early stage -- a distressing statistic in light of the high survival rates possible with early diagnosis.
"Symptoms occur mainly in late-stage lung cancer," she said. "Thus, the best way to find early-stage lung cancer is by enrolling in an annual screening program."
In 1992, Henschke was part of a team that launched a study called the Early Lung Cancer Action Program (ELCAP) which explored lung cancer mortality rates in patients screened for the disease with CT. In 2004, the research was expanded to include international data and renamed I-ELCAP. As of December 2021, the study in both its forms has evaluated information from 87,416 current, former, and never-smoker participants who underwent annual lung cancer screening with low-dose CT.
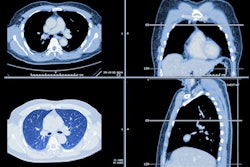
 Axial CT images of pulmonary nodules. (A) Malignant nodule. (B) Benign nodule. Image and caption courtesy of the RSNA.
Axial CT images of pulmonary nodules. (A) Malignant nodule. (B) Benign nodule. Image and caption courtesy of the RSNA.Henschke and colleagues evaluated 20 years of study data, estimating lung cancer-specific survival regardless of treatment and categorized by lung cancer consistency on CT (solid, part-solid, and nonsolid). They found that the overall 20-year lung cancer survival rate for the 1,285 participants diagnosed with the disease was 80%.
The group also found high survival rates by nodule consistency and disease stage.
| 20-year lung cancer-specific survival rates | |
| Nodule/cancer characteristic | Percentage | 
| Solid | 73% | 
| Part solid | 100% | 
| Nonsolid | 100% | 
| Stage IA cancers | 86% | 
| Stage 1A cancers 10 mm or less in diameter | 92% | 
The study results underscore that early lung cancer detection is key to patient survival, Henschke noted.
"Ultimately, anyone interested in being screened needs to know that if they are unfortunate enough to develop lung cancer, it can be cured if found early," she said.





















