
An artificial intelligence (AI) algorithm can help reduce the number of missed lung cancers on chest x-ray, according to a study published July 21 in Radiology. The study results point to AI as an effective way to address the challenging task of spotting subtle suspicious lung lesions.
"Our findings suggest that a deep learning-based automatic detection algorithm (DLAD) may contribute to a reduction in the number of lung cancers overlooked on chest radiographs by improving observer performance," wrote a team led by Dr. Sowon Jang of Seoul National University Bundang Hospital in South Korea.
Over the years, computer-aided detection (CAD) programs have been developed to help radiologists improve their chest x-ray reading performance. These tools have been helpful, but they are also associated with false positives, making them less likely to be regularly used in clinical practice, according to the authors. That's why deep learning-based algorithms show such promise.
"Recently, deep learning-based automatic detection algorithms were developed to help improve malignant nodule detection and have shown promising results," the team wrote. "However, the feasibility of using [this kind of algorithm] to help diagnose subtle lung cancers that may be overlooked on radiographs remains to be investigated."
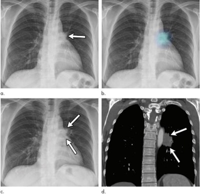
Jang's group conducted a study that included 117 patients diagnosed with lung cancer between January 2010 and December 2014. Of these, 105 had cancer missed on the original x-ray. Lesion visibility was ranked on a scale of 1 to 4, with 1 equal to "very subtle" and 4 equal to "well visible."
Nine radiologists reviewed each chest x-ray both with and without the use of the AI algorithm, noting potential lung cancers and marking whether they would recommend follow-up chest CT; they also assessed chest x-rays from 234 patients with healthy lungs both with and without the help of AI. The research team then compared reader performance using the area under the receiver operating curve (AUC) measure and calculated both sensitivity and rates of chest CT recommendations.
The authors found that the AI algorithm improved readers' ability to detect cancers that had been missed on chest x-ray. They also found that in the healthy cohort, there was no difference between the rate of chest CT recommendations when the algorithm was used and when it wasn't.
Impact of AI on radiologist performance for lung cancers on chest x-ray | ||
Performance measure | Without AI algorithm | With AI algorithm |
AUC | 0.67 | 0.76 |
Sensitivity | 43% | 56% |
Specificity | 90% | 92% |

Using AI with chest radiography could go a long way to improve patient care, the team concluded.
"Our results suggest that chest radiograph interpretation with [an AI algorithm] can help reduce the number of overlooked lesions and can enable earlier diagnosis of lung cancer, without increasing unnecessary chest CT examinations in healthy individuals," the team wrote.