
Having patients with cardiac sarcoidosis follow a ketogenic diet for three days before their PET/CT scans can improve image quality by suppressing signal from normal myocardial activity, according to a March 26 study in the Journal of Nuclear Medicine.
Researchers from the University of Minnesota compared more than five years of data on the effects of three different dietary modifications prior to FDG-PET/CT scans in patients suspected of cardiac sarcoidosis. They found that a 72-hour daytime ketogenic diet resulted in increased myocardium suppression and diagnosis rates.
"Two of these dietary modification strategies are mainly applied and recommended by current guidelines and the third one, which performs better, has not been used in the clinical setting despite preclinical evidence to support its use," stated radiologist Dr. Can Ozutemiz, who led the study.
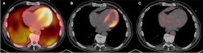
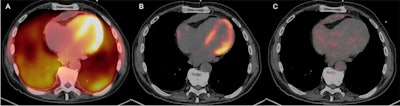
Cardiac sarcoidosis is a rare disease characterized by the formulation of granulomas in the tissue of the heart, and it can cause arrhythmias and heart failure. FDG-PET/CT has emerged as a promising alternative to invasive biopsies for diagnosing the condition, yet for physicians to be able to differentiate between normal physiologic myocardial activity and abnormal myocardial inflammation, the patient's consumption of glucose needs to be suppressed.
In this study, researchers retrospectively reviewed a total of 236 PET/CT scans from 160 unique patients at the University of Minnesota's Masonic Cancer Center who had been on one of three different diets:
- Diet A, a 24-hour ketogenic diet with overnight fasting (n = 94)
- Diet B, an 18-hour fasting diet (n = 44).
- Diet C, a 72-hour ketogenic diet with overnight fasting (n = 98)

Myocardial suppression rates for the three diets were as follows in the table below.
Impact of diet changes on myocardial suppression in PET/CT scans | |||
Diet A | Diet B | Diet C | |
Complete myocardial suppression | 68.1% | 52.3% | 96.9% |
Partial myocardial suppression | 8.5% | 22.7% | 3.1% |
Failed myocardial suppression | 23.4% | 25% | 0% |
"We identified superior myocardial suppression with the 72-hour preparation indicated by a higher blood pool/myocardium and liver/myocardium ratios," the researchers said.
The authors noted that most recently, the Society of Nuclear Medicine and Molecular Imaging (SNMMI) and the American Society of Nuclear Cardiology (ASNC) jointly reported a consensus guideline for appropriate dietary modification to assess cardiac sarcoidosis. The guideline includes two options:
- Patient consumes at least two high-fat (> 35 g), low-carbohydrate (< 3 g) meals the day before the study and fasts for at least four to 12 hours.
- Patient fasts more than18 hours before the study.
Despite these guidelines, a recent large literature review concluded that a definitive dietary preparation recommendation is not possible based on current evidence, yet scan readability does seem to be improved when preparations include a reduced carbohydrate intake, the researchers said.
"It appears that the SNMMI-ASNC diet recommendations are inadequate to suppress the background myocardial glucose uptake, leading to many indeterminant and potentially false-positive results," they concluded.
Ultimately, a 72-hour ketogenic diet with overnight fasting prior to PET/CT is well-tolerated and superior to other dietary preparations, providing excellent physiologic myocardial glucose metabolism suppression, markedly decreasing the number of indeterminate results and potentially false-positive results for active cardiac sarcoidosis diagnosis, they said.