Shimadzu has obtained premarketing notification from the U.S. Food and Drug Administration (FDA) for PositView SET-5002, a high-resolution PET scanner for head and breast exams.
PositView SET-5002 PET features a PET detector ring with an inner diameter of 28 cm, enabling it to capture images closer to target locations than whole-body PET systems and at an increased resolution of about a factor of two, according to Shimadzu.
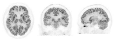
Three FDG-PET scans acquired on PositView SET-5002 showing horizontal, coronal, and sagittal cross-sections.Courtesy of Institute of Advanced Clinical Medicine, Kindai University Hospital; Shimadzu
In announcing the FDA premarketing clearance, the Kyoto, Japan-based firm highlighted the scanner's performance on amyloid and tau PET exams. Shimadzu said it hopes the scanner will contribute to early diagnosis and prediction of dementia, including Alzheimer's dementia, and to aid in research and development of treatments that aim to delay the onset and progression of dementia.

















