Top U.S. and European nuclear medicine organizations have released joint guidelines on the use of fibroblast activation protein (FAP)-PET imaging in cancer patients.
The guidelines -- issued by the Society of Nuclear Medicine and Molecular Imaging (SNMMI) and the European Association of Nuclear Medicine (EANM) -- are hoped to clarify the role of FAP imaging in cancer diagnosis and may help lead to regulatory approval of new imaging agents, noted lead author Thomas Hope, MD, of the University of California, San Francisco (UCSF), and colleagues.
“FAP has long been a target for cancer therapy, but the development of FAP-targeted radioligands has led to an increased interest in imaging FAP for assessment of cancer,” the authors wrote. The guidelines were published in the January issue of the Journal of Nuclear Medicine.
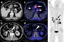
FAP is overexpressed by cancer cells, and research suggests it is an essential component driving the growth of tumors. When combined with medical isotopes such as gallium-68, radioligands that bind to FAP (radiotracers) have proven highly effective for visualizing cancer. FAP PET imaging has proven useful for initial staging, restaging, therapy response evaluation, and whole-body target expression assessment for therapy selection, the authors explained.
The guidelines outline several oncologic indications for FAP PET imaging, including gastrointestinal adenocarcinoma, pancreatic ductal adenocarcinoma, esophageal, head and neck cancer, thyroid, lung, and ovarian and breast cancers. In addition, it reviews the qualifications and responsibilities of imaging personnel and presents standardized quality control/quality assurance procedures and imaging procedures for FAP PET.
“Possibly the most important strategy to move forward is to establish well-designed prospective clinical trials which both help elucidate the clinical role of FAP PET, but also lead to regulatory approval of these imaging agents,” the group wrote.
Prospective trials will focus on staging, but there will also be a need to better understand the clinical impact of more accurate disease detection and treatment response assessment, as patients will receive follow-up FAP PET, the authors added.
“FAP PET is in its early days, and there will be significant changes to our understanding of its role as we learn more,” the group wrote. “FAP PET is an incredibly promising imaging agent, and we look forward to its broad future in clinical practice.”
The full procedure standard/practice guideline is available here, as well as on SNMMI’s website.




















