
A radiotracer recently cleared for PET imaging of recurrent prostate cancer may have similar efficacy for certain forms of breast cancer, according to a study presented at last week's Society of Nuclear Medicine and Molecular Imaging (SNMMI) meeting.
Researchers from Memorial Sloan Kettering Cancer Center (MSKCC) found that fluciclovine with PET/CT was successful in detecting local invasive ductal carcinoma and invasive lobular carcinoma, as well as unsuspected extra-axillary nodal metastases, after treatment.
"We concluded that there may be a use for fluciclovine in certain histologies of breast cancer, particularly for invasive lobular carcinoma where FDG traditionally has not done such a great job," said Dr. Gary Ulaner, an assistant attending radiologist at MSKCC.
FDA clearance
Developed by Blue Earth Diagnostics, fluciclovine is an amino acid labeled with an F-18 radioisotope. The U.S. Food and Drug Administration (FDA) gave its approval in late May to the radiopharmaceutical for use with PET to identify suspected sites of prostate cancer recurrence in men who have elevated blood levels of prostate-specific antigen (PSA) following treatment.
Dr. Gary Ulaner from Memorial Sloan Kettering.Blue Earth announced a deal this month with Siemens Healthineers' subsidiary PETNet Solutions to manufacture and distribute fluciclovine under the brand name Axumin. The radiotracer will be commercially available beginning in July.
Amino acid transport proteins are known to stimulate breast cancer, which potentially could make fluciclovine a more efficient radiotracer in patients with invasive ductal carcinoma and invasive lobular carcinoma. FDG, on the other hand, is known to have lower sensitivity in cases of lobular breast cancer.
"Ductal tumors tend to be more FDG-avid than lobular tumors, so we need a better nuclear imaging agent for lobular breast cancer," Ulaner told AuntMinnie.com. "The question became: Can we use that molecular phenotype to image breast cancers with an amino acid analog?"
For the study, Ulaner and colleagues prospectively enrolled 19 women with newly diagnosed locally advanced invasive ductal carcinoma and eight women with invasive lobular carcinoma. Subjects had a median age of 53 years, ranging from 37 to 79 years. Thirteen patients had stage IIB breast cancer, six patients had stage IIIA, six patients had stage IIIB, and two women had stage IIIC.
All 27 patients underwent PET/CT of the chest after intravenous injection of 370 MBq (10 mCi) (± 10%) of fluciclovine before and after neoadjuvant therapy.
The researchers calculated maximum standardized uptake values (SUVmax), metabolic tumor volume, and total lesion avidity for the primary breast tumor, axillary lymph nodes, and extra-axillary lymph nodes. Previously unsuspected malignancies were recorded and later confirmed by pathology.
Ulaner and colleagues also directly compared fluciclovine-PET/CT images with FDG-PET/CT results in 14 patients who underwent both types of imaging scans.
Fluciclovine avidity
Both locally advanced forms of breast cancer were avid with fluciclovine, the researchers found. In addition, of the 21 patients with pathologically proven axillary nodal metastases, fluciclovine-avid axillary nodes were seen in 20 women (95%).
Fluciclovine also detected pathologically confirmed extra-axillary nodal metastases in three patients (14%), including two cases of previously unsuspected internal mammary nodes.
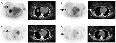
Images are from a 43-year-old woman with invasive lobular breast cancer. Axial fluciclovine-PET/CT (A) demonstrates a fluciclovine-avid (SUV 4.9) primary right breast malignancy (arrows). Axial fluciclovine-PET/CT (B) shows a fluciclovine-avid (SUV 5.8) right axillary nodal metastasis (short arrows). Axial FDG-PET/CT (C) shows near background FDG avidity (SUV 1.8) in the right breast malignancy (dashed arrows). Axial FDG-PET/CT (D) shows only mild FDG avidity (SUV 2.8) in the right axillary nodal metastasis (short dashed arrows). Image courtesy of Dr. Gary Ulaner and SNMMI.In the comparison of the two radiotracers, fluciclovine and FDG recorded similar results for tumor volume. However, fluciclovine achieved greater avidity than FDG in cases of invasive lobular carcinoma.
Among the 14 patients who underwent both fluciclovine and FDG imaging, the median SUVmax for fluciclovine avidity (6.1, range: 4.5-10.9) was significantly greater than FDG (3.7, range: 1.8-6.0) in four cases (28%) of primary invasive lobular carcinoma.
However, FDG's median SUVmax (10, range: 3.3-43.5) outperformed fluciclovine (6.8, range: 3.6-9.9) in 10 cases of primary invasive ductal carcinoma.
"The low concordance for SUVmax between fluciclovine and FDG suggests that these tracers measure different biologic phenomena within the tumor," the researchers noted.
Reason for optimism
Ulaner and colleagues were encouraged that fluciclovine-PET/CT could benefit the assessment of invasive lobular carcinoma after neoadjuvant therapy. However, the results need to be validated in a larger group of patients.
"Our initial results parallel what was expected from the molecular characterization, in that when we compared fluciclovine to FDG, the tumors sizes are the same, but the uptake of FDG does not parallel the uptake of fluciclovine," Ulaner said.




















