
It’s the age-old query that has most likely been trotted out by every parent in the world when confronting a headstrong teenager who is determined to do exactly what he or she wants: If all your friends were jumping off a bridge, would you do it too?
For most rational adults, the question is a fairly easy one. Plunging off a structure that is hundreds of feet above the ground -- or engaging in any kind of dangerous behavior -- does not qualify as a brilliant idea, particularly if the reward won’t heavily outweigh the risk. But for a teen, the reasons for not taking that flying leap may not be so obvious: Based on their brain development, an adolescent may simply lack the motivation to do so. However, this deficiency of motivation doesn’t preclude a youngster from engaging in reckless behavior, because he covets the reward.
It’s this complex cost-to-benefit relationship in the adolescent brain that a recent neuroimaging study tackled. As with most of us, teenagers are thrilled with the idea of a reward. Yet how far are they willing to go to achieve it? And if there’s a stress-free way to obtain something good, will they gleefully go for it, regardless of the consequences?
"Think about all the things that kids have today that are fun and cool to do, but don’t require much effort, especially physical effort," said lead author James Bjork, Ph.D., in an interview with AuntMinnie.com. Bjork is from the National Institute on Alcohol Abuse and Alcoholism (NIAAA), National Institutes of Health, in Bethesda, MD. His co-authors are from the NIAAA, as well as the departments of psychology at Stanford University in Stanford, CA, and the Catholic University of America in Washington, DC.
"We’re in the substance-abuse field here (at the NIAAA). I’m interested in the fact that something like 50% of American 12th graders has consumed alcohol. The younger a human being is when they start doing that, the more likely they are to become dependent. What is it about modern life and adolescence that it could be a risk factor for them?" Bjork said. "If you’ve got a developing brain that enjoys rewards, but isn’t very motivated yet to go and get rewards, what rewards come to mind?"
The study population consisted of 12 right-handed male and female adolescent subjects, ages 12-17, and a dozen right-handed young adults, ages 21-28. They took part in a monetary incentive delay (MID) task that was designed to "delineate brain activation specific to the anticipation of working to obtain potential monetary gain or avoid loss." The MID was created by co-author Brian Knutson, Ph.D., from Stanford (Journal of Neuroscience, February 25, 2004, Vol. 24:8, pp. 1793-1802).
Each subject was given a handheld box. They were instructed to push the button on the box in response to a specific target, depending on the cues presented: Pushing the button for gain cues meant the subject would win money, ranging from 20¢ to $5 (U.S.). If the subject failed to respond to three potential loss cues in time, they stood to lose money.
"The...event-related (MID) design we used enabled us to separate out what brain activation is going on in a two- or three-second window after a subject sees a cue -- whether they can win money or avoid losing money -- before they actually press a target to do that. Our modeling was able to"indicate that the mesial frontal cortex is selectively activated by notification of success. That’s what I think is really interesting, because if you think about any kind of reward-directed behavior, there’s sort of a benefit-to-cost response ratio there," Bjork explained.
![]() |
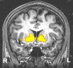
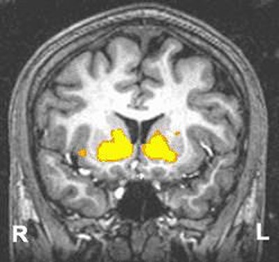
Functional MRI detects regions in the brain where extra oxygen in the blood flows in response to events in the environment. The scans depict the ventral striatum, known to be involved in motivating organisms to seek natural (such as food and sex) and artificial (such as street drugs) rewards. In young adults (above), both sides of the ventral striatum were robustly activated by the prospect of responding to win a reward. In adolescents (below), the ventral striatum showed less activation. Images and caption courtesy of NIAAA’s Laboratory of Clinical Studies Section of Brain Electrophysiology and Imaging.
![]() |
Functional MR images were acquired on a 3-tesla scanner (GE Healthcare, Waukesha, WI) with a standard quadrature head coil. Twenty-four 2-mm-thick contiguous axial slices were collected from the base of the orbitofrontal cortex upward to the level approximately at the apex of the corpus callosum. This allowed the researchers to capture the areas of interest: the orbitofrontal cortex, mesial frontal cortex (mFC), ventral and dorsal striatum, amygdala, insula, and thalamus.
The functional scans were done during two 72-trial runs of the MID task. The scanning protocol included a T2*-sensitive echo-planar sequence (TR 2000 msec, TE 40 msec, 90° flip angle). After the MID task, the subjects then had structural scans for anatomic co-localization. These scans were acquired using a T1-weighted magnetization-prepared rapid gradient-echo sequence (TR 100 msec, TE 7 msec, 90° flip angle). The fMRI analysis focused on blood oxygen-level (BOLD) changes, and the echo-planar image volumes were preprocessed using Analysis of Functional Neural Images software (AFNI, Computers and Biomedical Research, June 1996, Vol. 29:3, pp. 162-173).
According to the results, the adolescents and the young adults performed similarly on the MID task, with an overall hit rate of 69.9%. Both groups reported greater happiness at winning and greater fearfulness at losing based on the answers to a questionnaire. With regard to anticipation of gain, both showed bilateral activation of the nucleus accumbens (NAcc). Gain versus non-gain outcomes also stimulated several portions of the prefrontal cortex and the putamen bilaterally.
However, the results indicated reduced gain anticipation activation in the right ventral striatum (VS) of the adolescents, centered in the NAcc. This right-selective deficit in recruitment of the VS may reflect developmental deficits in attention control in the adolescents during the MID task, the authors reported. In comparison, the adults demonstrated orderly activation in the right NAcc, especially as the dollar amounts increased.
"This finding provides support for an adolescent VS activation deficient (in) adolescent risky behavior, in which adolescents may seek more extreme incentives as a way of compensating for low VS activity levels," they wrote. "These data are also consistent with findings from psychosocial research that adolescents are less optimistically biased about obtaining future rewards compared with adults."
Beyond youthful folly
What’s the real-world application of these findings? On a social level, they could offer insight into why teenagers gravitate toward high-reward/low-effort activities, such as video games or TV and films (see MTV’s Punk’d or 2002’s Jackass: The Movie), all of which offer positive reinforcement for the most extreme -- and sometimes insipid -- behavior.
More seriously, the group’s observations help resolve a debate amongst neuroscientists as to why many adolescents seek reward fulfillment through drug and alcohol abuse. Could this knowledge give healthcare specialists the tools to determine which adolescents are engaging in temporary teen rebellion, and which may be prone to substance abuse or major physiological disorders?
"That’s an interesting question," Bjork said. "I think individual differences are going to be crucial. I have gone on to study adolescent children of alcoholics (using fMRI). Looking at that preliminary data, it’s looking like their nucleus accumbens is even quieter (than the subjects in the current study). I think that will be of clinical significance if that pans out. It’s sort of a model for teenage anhedonia or depression...you are maybe looking at a metabolic phenotype that could be systematically explored."
Bjork said his group does not plan any follow-up on these same subjects to see if their motivation level changes with maturity. Instead, he said he looks forward steering this research in new directions, fine-tuning the understanding of adolescent motivation.
"These kids that I worked with were good kids, they were pleasant. None of their parents reported any problems in school or anything. But the fact is that they were the typical, suburban ‘love objects’ that modern American adolescents have been for the past couple of generations," he said. "It would be interesting to see if these finds held up in adolescents from other cultures or those from more economically challenged areas of America."
By Shalmali PalAuntMinnie.com staff writer
March 19, 2004
Related Reading
Brain structure may vary in teens with major depressive disorder, February 12, 2004
Drinking associated with brain shrinkage, December 5, 2003
Brain scans shed light on attention disorder, November 21, 2003
MRI, MRS piece together neurological damage in chemical solvent abusers, November 20, 2003
MRI separates schizophrenia, mood disorders in adolescents, December 16, 2002
Copyright © 2004 AuntMinnie.com




.fFmgij6Hin.png?auto=compress%2Cformat&fit=crop&h=100&q=70&w=100)





.fFmgij6Hin.png?auto=compress%2Cformat&fit=crop&h=167&q=70&w=250)











