
With the help of cardiovascular MRI, researchers can discover noncardiac maladies and change patient management for the better, according to a study in the April issue of the American Journal of Roentgenology.
Specifically, thoracic steady-state free precession (SSFP) images and axial T1-weighted thoracic fast spin-echo images were most effective in finding 95% of noncardiac health issues, such as renal masses and lung nodules.
"The acquisition of imaging field data outside the heart offers the opportunity for detection of noncardiac abnormalities," the authors wrote, noting previous studies. "These noncardiac findings may represent unsuspected important disease or benign 'incidentalomas.' "
The lead author of the study is Dr. Faisal Khosa, from the department of radiology at Beth Israel Deaconess Medical Center and Harvard Medical School in Boston (AJR, April 2011, Vol. 196:4, pp. W380-W386.)
MRI techniques
The researchers acquired images from consecutive clinical cardiovascular MRI studies performed during 2006. There were 495 exams performed on 443 subjects (279 males and 164 females) who had a mean age of 51 years, ranging from 12 to 84 years old.
All cardiovascular imaging was performed on a 1.5-tesla MR system (Achieva, Philips Healthcare) with a five-channel cardiac coil. All MR scans included initial single-shot SSFP thoracic images, with nine images each taken in the axial, coronal, and sagittal planes.
Additional MR images included T1-weighted fast spin-echo axial images with fat suppression, T1-weighted fast spin-echo sagittal images, T1-weighted axial images after gadolinium contrast administration, and T2-weighted fast spin-echo axial images, among others.
The study defined benign findings as those not requiring follow-up assessment, with results that did not change patient management. These included conditions such as gynecomastia, small hiatal hernia, simple renal cyst, and benign liver cyst or hemangioma.
Indeterminate findings were those for which a follow-up would have been suggested. The findings included enlarged thoracic lymph nodes and liver and kidney masses that could not be definitively characterized as cysts.
Worrisome findings were considered most likely to be serious disease and might include lung nodules, aortic dissections, aortic ulcers, and mediastinal soft-tissue masses, which would likely change the patient's care management.
MR image analysis
The researchers' review of the cardiovascular MR images identified 295 noncardiac findings in 212 (43%) of 495 studies. Of those noncardiac findings, 148 (50%) were benign, 133 (45%) were indeterminate, and 14 (5%) were worrisome.
Among the benign noncardiac findings were 41 cases of gynecomastia and 22 cases of hiatal hernia. The most common indeterminate noncardiac findings were pleural effusion, at 29, and renal masses, at 27. There were 11 cases of lung nodules, which represented the most common worrisome noncardiac finding.
Most significantly, 47% of indeterminate noncardiac findings and 57% of worrisome findings were new discoveries.
![]() |
| Benign liver lesions, cysts, or hemangiomas (arrows) are found in a 54-year-old man referred for assessment of hypertrophic obstructive cardiomyopathy after coronal SSPF MRI. All images courtesy of the American Journal of Roentgenology. |
SSFP images uncovered 63% of all noncardiac findings, while axial T1-weighted fast spin-echo images revealed 60% of all noncardiac findings. Only 5% of noncardiac findings were not found by either MRI sequence, meaning that the MRI techniques combined visualized 95% of all noncardiac findings.
Patient management
In all, 155 (99%) of 157 management-changing noncardiac findings were shown by either thoracic SSFP images or axial T1-weighted thoracic fast spin-echo images.
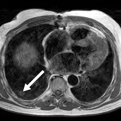
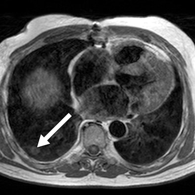
![]() |
| Axial T1-weighted image shows right lower lobe lung nodule (arrow) in 67-year-old man referred for evaluation of left ventricular function and myocardial viability. |
In addition, 71 indeterminate and worrisome noncardiac findings (48% of all indeterminate and worrisome noncardiac findings) were not seen on a patient's previous cardiovascular MRI. The new discoveries included two cases of lung cancer and two patients with pulmonary nodules.
The authors cited several limitations of the study, including the fact that one radiologist reviewed all 495 cardiovascular MRI studies, with follow-up pathology review or confirmation by a second radiologist.
"Although 64% of noncardiac findings identified on our review were not included in the clinical report, 10% of noncardiac findings in the original clinical report were not identified by our reviewer," they noted.
In conclusion, Khosa and colleagues wrote that while noncardiac findings on clinical cardiovascular MRI are common, "only a small minority of studies contain management-changing noncardiac findings. The vast majority of management-changing noncardiac findings are visualized on thoracic SSFP scout and axial T1-weighted thoracic fast spin-echo images ... [and] cardiovascular MRI practitioners should focus attention on these images for noncardiac findings."





.fFmgij6Hin.png?auto=compress%2Cformat&fit=crop&h=100&q=70&w=100)



.fFmgij6Hin.png?auto=compress%2Cformat&fit=crop&h=167&q=70&w=250)











