
Siemens Healthcare on Monday unveiled details of Magnetom Spectra, its new 3-tesla MRI system, three days prior to its formal debut at this week's annual meeting of the European Congress of Radiology (ECR) in Vienna.
Siemens is promoting Magnetom Spectra as a more affordable 3-tesla MRI system for private radiology practices, imaging centers, and clinics, as well as larger healthcare institutions looking to expand their ultrahigh-field MRI offerings.
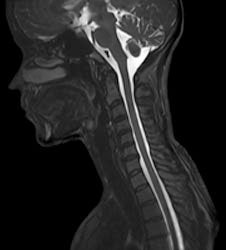
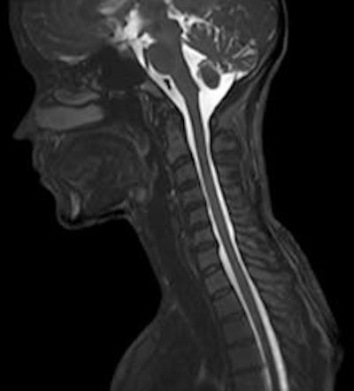
Siemens plans to market its new Magnetom Spectra to radiology practices, imaging centers, and healthcare facilities looking to expand their 3-tesla MRI capabilities. All images courtesy of Siemens Healthcare.
"We plan to substantially broaden the footprint of 3-tesla MRI to customers and institutions, which have not had the budgets for 3-tesla imaging performance," Bernd Ohnesorge, PhD, CEO of Siemens' magnetic resonance unit, told AuntMinnie.com. "From a regional perspective, 3-tesla MRI has the potential to broaden its footprint in developing countries, but also in the developed countries where the cost of healthcare delivery and the highest level of quality is of the essence."
The new scanner features a Siemens' Tim (total imaging matrix) coil and 4G radiofrequency technology for enhanced spatial and temporal resolution. In addition, cableless, direct-connect coils are designed for more efficient setup. As many as 120 coil elements can be combined for larger anatomical coverage and whole-body scans with 205 cm of coverage in a single MRI exam, with no need to reposition a patient or the coils.
The system also includes Siemens' MRI Dot (day optimizing throughput) workflow technology for enhanced selection of the most appropriate scan, based on a patient's condition and the clinical indication.
"It is a whole-body system fit for all clinical applications, but with an emphasis on broad clinical applications," Ohnesorge said. "Three-tesla MRI truly has proven its clinical differentiation, as in musculoskeletal, spine imaging, and neuroimaging, which in total is 70% to 80% of all MRI examinations. Some of the cutting-edge applications, such as functional MRI, are still subject to more clinical research."


The first installations of Magnetom Spectra are in place in Germany and China, where clinical evaluations are under way as part of the regulatory process. Siemens hopes to make Magnetom Spectra available worldwide in the latter half of 2012.
"The key is to provide top performance at more affordability ... from a total cost of ownership perspective, which would include maintenance costs and energy consumption," Ohnesorge added.