
It may be America's pastime, but baseball is causing a range of health issues in the young athletes who play it. In a new study published online October 14 in Radiology, MR images revealed abnormal shoulder development and potential long-term issues in male and female teenagers who threw a baseball more than 100 times a week.
Researchers at Thomas Jefferson University Hospitals found fusion issues and soreness at the acromion, located at the top of the shoulder. Under normal conditions, the acromion develops when four individual bones fuse into one during a person's teenage years. However, MRI showed signs of acromial apophysiolysis, which is characterized by incomplete fusion and swelling.
Clinical radiologist Dr. Johannes Roedl, PhD, from Thomas Jefferson University.Follow-up imaging showed that patients with acromial apophysiolysis were significantly more likely to develop issues such as rotator cuff tears and os acromiale after age 25, according to lead author Dr. Johannes Roedl, PhD, an attending radiologist in the division of musculoskeletal imaging and interventions, and colleagues.
"They never fused that bone at the acromion, so they developed what is called os acromiale," Roedl told AuntMinnie.com. "The majority of patients who stopped pitching after the diagnosis had no long-term adverse effects."
Anecdotal evidence
The research grew from anecdotal evidence at the hospital, as clinicians noticed over the years that young baseball players would present to the orthopedics department with shoulder pain, which predominantly led to a diagnosis of labral tear. However, there were no such findings on MRI other than edema, or swelling, at the acromion.
"The first few years we really didn't know what to make out of it; then we started seeing it more and more," Roedl said. "That prompted us to do a study going back a few years on how many cases we had and the number of patients who actually had an edema."
The retrospective study reviewed data from 2,372 consecutive male and female patients between 15 and 25 years of age who underwent 1.5-tesla MRI with dedicated shoulder coils for shoulder pain between July 1998 and July 2012 (Radiology, October 14, 2014). From this group, they narrowed the study to 119 individuals who had isolated bone marrow edema at the distal acromion; after excluding patients with other shoulder abnormalities, they were left with 61 patients, 41 male and 20 female.
The researchers then matched the 61 patients by gender and age to patients who did not have the condition to create a control group. Pitching history was available for 106 of the 122 patients included in the study.
Among the 61 patients in the acromial apophysiolysis study group, 40% threw more than 100 pitches per week, compared with 8% in the control group.
One of the big advantages of the study was that 29 of the 61 injured patients and 23 of the 61 control subjects had follow-up MRI scans at least two years after they had turned 25, Roedl said. This allowed them to study the long-term effects of acromial apophysiolysis and excessive pitching.
The researchers found that 25 (86%) of the 29 acromial apophysiolysis patients with follow-up imaging showed os acromiale, or incomplete fusion, compared with just one person (4%) out of 23 in the control group. Meanwhile, 15 (68%) of 22 acromial apophysiolysis patients had rotator cuff tears, compared with six (29%) of 21 control subjects.
The majority of patients who stopped pitching had no long-term adverse effects. However, after a three-month break, 21 of the 29 pitchers with acromial apophysiolysis had continued pitching, and all 21 developed os acromiale.
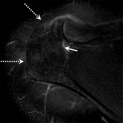
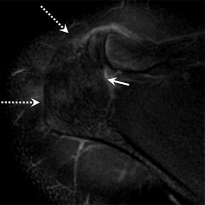
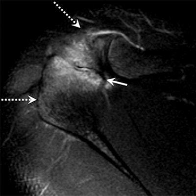
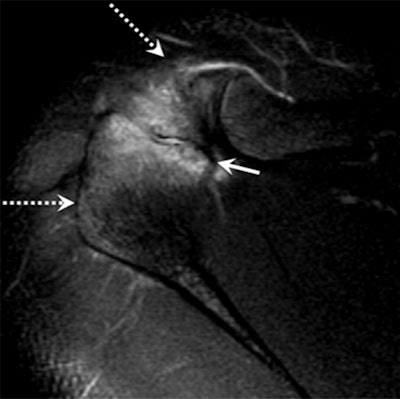
Image above shows incomplete fusion with moderate bone marrow edema in an 18-year-old male pitcher with acromial apophysiolysis. MR image below in the same patient at age 25 after quitting pitching shows complete fusion and resolution of the previously seen acromial edema (dashed arrows). Images courtesy of Radiology.
MRI was key to properly evaluating the subjects, Roedl said.
"The two findings with MRI that make the diagnosis for us are bone marrow edema, and the fusion with the two bones of the acromion still has to be open," he said. "You can see the nonfusion [of the acromion bones] on other modalities, such as CT and x-ray, but the edema is something you cannot pick up on any other imaging modality than MRI. So MRI is necessary to make the diagnosis and cannot be replaced by any other modality, because the edema is half of the diagnosis. You definitely need to see the edema."
Female athletes
Interestingly, Roedl believes female softball pitchers who throw underhand are just as much at risk for the condition because there is an overhand motion to their windup "as if turning a wheel," he said. "About 20 of our 61 patients were female. That would be an indirect sign that the overhand motion is the likely cause."
It was "very striking" that the shoulder issues were found most often among baseball pitchers, he added.
"We did not find it in any other sport, so we believe it is very related to the motion of baseball pitching," Roedl said. "I personally suspect that we would find it in any other athletes who perform repeated overhand motions."
The researchers plan to continue bringing back patients for follow-up imaging to see how they fare as they get older.
"We do not want to discourage parents to have their children play sports -- I'm a big sports fan, too," Roedl said. "The take-home message for coaches, parents, and young kids is to play baseball, but don't overdo it. Don't do the same repetitive motion over and over again, because that might put stress on the shoulder."
It's important to hold to the limit of 100 pitches per week, as recommended by the American Sports Medicine Institute, and then rest during the off-season, he added.


.fFmgij6Hin.png?auto=compress%2Cformat&fit=crop&h=100&q=70&w=100)




.fFmgij6Hin.png?auto=compress%2Cformat&fit=crop&h=167&q=70&w=250)











