
Researchers using functional MRI (fMRI) discovered significantly greater brain activation in 4-year-olds who were more highly engaged during storytime, according to a study published online May 31 in PLOS One.
The benefit for the children is enhanced brain development and cognitive capabilities, say researchers at Cincinnati Children's Hospital Medical Center.
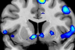
The group looked at fMRI scans of 22 girls to analyze the relationship between engagement and verbal interactivity while a mother reads to her child. The children who showed greater interest in the reading interaction showed increased activation in right-sided cerebellar areas of the brain, which are associated with cognitive skills connected to language and executive function.
 Evidence shows the benefits of shared reading may improve literacy and brain development. Image courtesy of Cincinnati Children's.
Evidence shows the benefits of shared reading may improve literacy and brain development. Image courtesy of Cincinnati Children's."The takeaway for parents in this study is that they should engage more when reading with their child, ask questions, have them turn the page, and interact with each other," said lead author Dr. John Hutton, a pediatrician at Cincinnati Children's Hospital, in a statement.
The findings also illustrate the importance of activities between the parent and child, such as reading, and the need to reduce distractions such as cellphones, Hutton added.
Long-term studies are needed as soon as infancy to better understand the mother-child connection and how it can contribute to healthy brain development and literacy skills, the researchers recommended.



.fFmgij6Hin.png?auto=compress%2Cformat&fit=crop&h=100&q=70&w=100)




.fFmgij6Hin.png?auto=compress%2Cformat&fit=crop&h=167&q=70&w=250)











