
When people have a religious and spiritual experience, reward-related regions of the brain become illuminated on functional MRI (fMRI) scans, much the same way these areas react to love, sex, gambling, drugs, and music, according to a study published November 29 in Social Neuroscience.
The study from researchers at the University of Utah is part of the Religious Brain Project, which was launched in 2014 to understand how the brain functions in people with deep spiritual and religious beliefs.
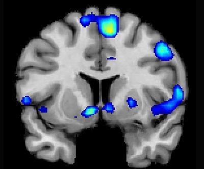
Senior author Dr. Jeffrey Anderson, PhD, and colleagues looked at devout Mormons, exploring which brain networks are involved in representing spiritual feelings by creating an environment that would trigger a spiritual experience.
Functional MRI scans were performed for an hour on 19 young adults who were former full-time missionaries. The subjects underwent the following:
- Six minutes of rest
- Six minutes of a video detailing their church's membership statistics
- Eight minutes of quotations by Mormon and world religious leaders
- Eight minutes of reading familiar passages from the Book of Mormon
- 12 minutes of a church-produced video of family and Biblical scenes along with other religious content
- Eight more minutes of quotations
During the initial quotations part of the scan, they were asked "Are you feeling the spirit?" after each quote. Subjects responded with answers ranging from "not feeling" to "very strongly feeling." They were also asked to press a button when they felt a peak spiritual feeling while watching church-produced stimuli.

In general, the participants reported feelings typical of an intense worship service, and described feelings of peace and physical sensations of warmth. Many were in tears by the end of the scan, according to a press release.
The spiritual feelings were associated with activation in the nucleus accumbens, which is associated with processing reward, as well as in brain regions associated with focused attention. Such feelings were also linked with activity in the medial prefrontal cortex, which is activated by tasks involving valuation, judgment, and moral reasoning.
"We're just beginning to understand how the brain participates in experiences that believers interpret as spiritual, divine, or transcendent," Anderson said. "In the last few years, brain imaging technologies have matured in ways that are letting us approach questions that have been around for millennia."