
MRI scans of 61 former college and professional football players have found that damage to their brains from recurrent hits can vary based on their position on the field and the length of their careers, according to a study published online October 31 in Radiology.
Unlike previous research on former athletes who showed signs of cognitive impairment, this neuroimaging study compared former players who had no symptoms of such deficiencies. The researchers used diffusion-tensor MR imaging (DTI-MRI) to analyze white-matter structural integrity and functional MRI (fMRI) to evaluate brain function while the players performed a memory task. They found early signs of brain changes that could be hallmarks of future problems.
"Our data suggest that measurable changes to white-matter integrity and neural recruitment may precede cognitive and behavioral impairment as measured by standard clinical neuropsychologic tasks," the authors wrote. "Multimodal imaging may provide early markers of traumatic neurodegenerative disease onset and progression" (Radiology, October 31, 2017).
Accumulating knowledge
A wealth of evidence continues to grow regarding repetitive head trauma and concussions and their relationship to changes in brain structure and volume and subsequent neurological issues such as cognitive regression.

In August 2017, using MRI, Churchill et al found that athletes who experienced a recent concussion continued to undergo subtle changes in brain structure and activity, even after they had been cleared to return to action. A year earlier, Bahrami et al found significant brain changes in young football players after just one season of games and practice, even when they appeared to be concussion-free.
The current study is a follow-up to research presented at the RSNA 2015 annual meeting by lead author Michael Clark, an MD-PhD candidate at the University of North Carolina School of Medicine. At that time, Clark told AuntMinnie.com how repetitive hits and a history of concussion could affect different areas of the brain in individuals who played football -- with the effect varying by position.
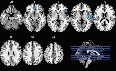
Clark and colleagues found lower fractional anisotropy values in frontal white-matter tracts, indicating abnormal movement of water molecules in brain tissue. The deficiency was more prevalent in nonspeed players, such as offensive and defensive linemen, compared with speed positions, such as quarterbacks, running backs, wide receivers, linebackers, and defensive backs. Kickers were not included in the study.
The researchers have since added the factor of career duration to playing position to see how it relates to concussion history. By doing so, they hope to determine the long-term effects of repetitive head trauma from playing football.
On-the-field performance
In the current study, Clark and colleagues analyzed 31 former college and 30 former professional players between the ages of 52 and 65 years. Among the subjects, 31 (51%) reported three or more concussions, while the remainder had one or no concussions.
MRI scans were performed on a 3-tesla scanner (Magnetom Trio, Siemens Healthineers) during which T1-weighted images were obtained to register both functional and diffusion-tensor MR images in relation to blood oxygen level-dependent (BOLD) percent signal change (PSC). A spin-echo sequence was also added to acquire 54 diffusion-weighted directional images.
The participants were given cognition tasks and tests, including the Mini-Mental State Examination (MMSE), the Repeatable Battery for the Assessment of Neuropsychological Status (RBANS), and the Wechsler Adult Intelligence Scale - Third Edition (WAIS-III).
The researchers found that former college players with more than three concussions had lower fractional anisotropy white-matter area than players with one or no concussions (p = 0.035).

Interestingly, the opposite was true for former professional players. Former athletes with one or no concussions had significantly lower fractional anisotropy than players with three or more concussions (p = 0.001). They also had significantly lower BOLD percent signal change across the three working memory tasks (p < 0.001).
"We do not have data to explain this result but speculate that this lack of difference may reflect a selection bias in favor of former professional players with a relatively high amount of brain reserve," the authors wrote. "In other words, those players with a long career duration, exposure to recurrent concussive events, and who are cognitively normal in their late 50s may not be reflective of the highly exposed former professional football player population as a whole."
'Important differences'
As for the position comparisons, nonspeed players with more than three concussions had significantly lower fractional anisotropy in frontal white matter than players with no or one concussion (p = 0.002). There also were several frontoparietal regions with lower BOLD percent signal change among the nonspeed players with more concussions than the nonspeed players with fewer concussions.
In addition, playing position affected the nature of brain changes in the former players. Players in speed positions are more likely to experience high-impact collisions than linemen but at a lower frequency. Linemen, on the other hand, experience a larger number of impacts and more of them to the front of the helmet, which could result in more localized damage to frontal white-matter tracts versus more variable impact locations experienced by players of speed positions, the authors noted.
"The interactions observed between concussion histories and playing positions suggest there may be important differences in the mechanisms of injury between speed and nonspeed players," they wrote. "The high proportion of frontal impacts experienced by nonspeed players may result in more localized damage to frontal white-matter tracts as compared to the more variable impact locations experienced by speed position players."
Clark and colleagues recommended additional research to "better understand the results and to determine the underlying mechanisms regarding how subconcussive and concussive impacts affect brain health later in life."