
Researchers have found that healthy women taking oral contraceptives had significantly smaller hypothalamus volume, compared with women not taking the birth control pill. In a study presented Wednesday at RSNA 2019, they also pointed out smaller hypothalamic volume is linked to anger and depression.
"There is a lack of research on the effects of oral contraceptives on this small but essential part of the living human brain," noted Dr. Michael Lipton, PhD, a professor of radiology and associate director at the Gruss Magnetic Resonance Research Center at Albert Einstein College of Medicine and the medical director of MRI Services at Montefiore Medical Center in New York City, in a statement from RSNA. "We validated methods for assessing the volume of the hypothalamus."
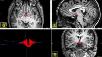
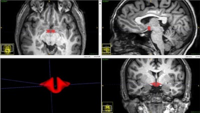
Lipton and colleagues recruited a group of 50 healthy women, including 21 women who were taking oral contraceptives. All 50 women underwent brain MRI, and a validated approach was used to measure hypothalamic volume.

"We found a dramatic difference in the size of the brain structures between women who were taking oral contraceptives and those who were not," he stated. "This initial study shows a strong association and should motivate further investigation into the effects of oral contraceptives on brain structure and their potential impact on brain function."
Other findings from the study -- which Lipton described as "preliminary" -- were that smaller hypothalamic volume was also associated with greater anger and showed a strong correlation with depressive symptoms. However, the group found no significant correlation between hypothalamic volume and cognitive performance.
Structural effects of sex hormones, including oral contraceptive pills, on the human hypothalamus have never been reported, according to the researchers. This may be in part because validated methods to quantitatively analyze MRI exams of the hypothalamus have not been available.

Oral contraceptives are also used to treat a host of conditions, including irregular menstruation, cramps, acne, endometriosis, and polycystic ovary syndrome. A 2018 report from the U.S. Centers for Disease Control and Prevention's National Center for Health Statistics found that from 2015 to 2017 approximately 47 million women ages 15 to 49 in the U.S. reported current use of contraceptives. Of those, 12.6% used the pill, according to the RSNA release.
Study disclosures
The study was funded by the National Institutes of Health/National Institute of Neurological Disorders and Stroke and by the Dana Foundation.