
Researchers from Washington University in St. Louis found in an animal study that using MRI to guide focused ultrasound with microbubbles may negatively affect how open the blood-brain barrier is to therapeutic drugs for brain diseases.
Their results, published July 6 in Radiology, highlight the fact that MRI's magnetic field needs to be taken into account when it comes to using focused ultrasound to treat patients with Alzheimer's, Parkinson's, amyotrophic lateral sclerosis, and glioblastoma, according to the team led by senior author Hong Chen, PhD.
"Findings from this study suggest that the impact of the magnetic field needs to be considered in the clinical applications of focused ultrasound in brain drug delivery," she said in a statement released by the university.
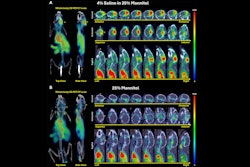
In a mouse model study of MRI-guided focused ultrasound-induced blood-brain barrier (BBB) opening at MRI field strengths ranging from approximately 0 tesla (outside the magnetic field) to 4.7 tesla, the static magnetic field dampened the detected microbubble cavitation signal and decreased the BBB opening volume. Image courtesy of Washington University in St. Louis.In the study, which included 30 mice, Chen's group discovered that the magnetic field of the MRI scanner reduced the blood-brain barrier's opening volume by 3.3-fold to 11.7-fold, depending on its strength.
"Static magnetic fields dampened microbubble cavitation activity and decreased trans-blood-brain barrier delivery by focused ultrasound combined with microbubble-induced blood-brain barrier opening," the researchers concluded.

.fFmgij6Hin.png?auto=compress%2Cformat&fit=crop&h=100&q=70&w=100)



.fFmgij6Hin.png?auto=compress%2Cformat&fit=crop&h=167&q=70&w=250)











