
MRI reveals how women's prenatal drinking -- even in low or moderate amounts -- has a negative effect on fetal brain development, according to research to be presented at the upcoming RSNA meeting in Chicago.
The findings underscore the need to support pregnant women to abstain from alcohol use, wrote a team led by Dr. Patric Kienast of the Medical University of Vienna in Austria.
"Identification of the ... toxic effects [of alcohol on prenatal] brain development opens new diagnostic opportunities for fetal neuroradiology, allowing early postnatal support programs in these cases and stimulating the discussion of alcohol prevention during pregnancy to promote public health," the group noted.
Alcohol use during pregnancy exposes fetuses to fetal alcohol spectrum disorders, which can cause learning disabilities, behavioral problems, or speech and language delays, according to the investigators.

"Unfortunately, many pregnant women are unaware of the influence of alcohol on the fetus during pregnancy," Kienast said in a November 22 RSNA statement. "Therefore, it is our responsibility ... to actively educate the public about the effects of alcohol on the fetus."
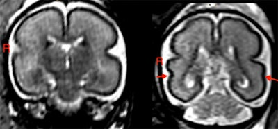
The researchers conducted a study that included MRI exams of 24 fetuses between 22 and 36 gestational weeks who were exposed to alcohol, matching each with 20 control cases of fetuses who had not been exposed to alcohol. The investigators assessed fetal brain maturation using the fetal total maturation score (fTMS), which consists of the sum of six subscores (lower scores indicate poorer health) of the following:
- Degree of frontal and occipital sulcation
- Degree of insular sulcation
- Extent of visualization of the germinal matrix
- Extent of myelination
- Presence and depth of both the superior and inferior temporal sulcus (an area of the brain associated with social cognition, audiovisual integration, and language perception)
- Audiovisual integration
- Language perception
Of the 24 women, 17 reported having fewer than one drink per week, three reported having three drinks per week, two reported having four to six drinks per week, one reported an average of 14 or more drinks per week, and six reported at least one binge drinking event (four or more drinks on one occasion).
Compared to controls, the fTMS scores were significantly lower in fetuses exposed to alcohol (p = 0.007), and the right superior temporal sulcus of these fetuses was shallower (p < 0.001). This was true even for fetuses with mild alcohol exposure.
"As we show in our study, even low levels of alcohol consumption can lead to structural changes in brain development and delayed brain maturation," Kienast said.