
Although the optimal frequency of screening breast ultrasound for women with mammographically dense breast tissue remains under debate, study data presented at last week's RSNA 2012 meeting suggest that this population would benefit from yearly scans.
Three years have passed since the state of Connecticut voted breast density notification legislation into law, mandating that women with mammographically dense breast tissue be told about their breast density and that they may benefit from screening breast ultrasound in the future, researchers from Yale University School of Medicine said.
"In 2009, Connecticut passed unprecedented legislation that requires radiologists to inform women of their breast density on mammography," lead presenter Dr. Saad Ibrahim told session attendees. "The purpose of our study was to determine the performance of the second round of yearly screening whole-breast ultrasound in women with dense breast tissue."
The study consisted of a retrospective chart review of 935 consecutive women who had screening breast ultrasound between October 2009 and September 2010 before undergoing an additional screening breast ultrasound exam within the next 15 months. The cohort included 419 women, all of whom had had a bilateral mammogram within one year prior to the screening ultrasound.
Of the 419 women, 64.4% were low-risk, 18.4% were intermediate-risk, and 8.6% were high-risk; risk factors were unknown in 8.6%. Of the total cohort, 82% were in BI-RADS 1 or 2 categories, 15% were BI-RADS 3, and 3.2% were BI-RADS 4 (no BI-RADS 5 lesions were found).
![]() |
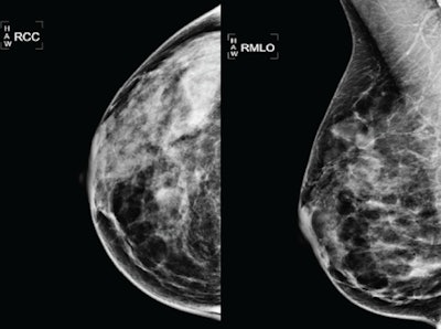
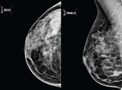
| 51-year-old woman: yearly mammogram. All images courtesy of Dr. Saad Ibrahim of Yale University School of Medicine. |
![]() |
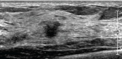
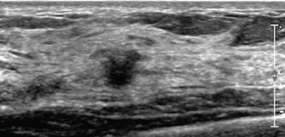
| 51-year-old woman: screening whole-breast ultrasound. |
The second round of yearly screening breast ultrasound in women with mammographically dense breast tissue had a cancer detection rate of 4.8 per 1,000, similar to cancer detection rates seen in prevalence-screening breast ultrasound exams, according to Ibrahim's group. This led the researchers to conclude that although the optimal frequency of screening breast ultrasound has not been determined, the study data support the benefit of yearly screening breast ultrasound for women with dense breast tissue.
Why not everyone?
A number of studies have shown that breast ultrasound increases cancer detection in dense breast tissue -- across a range of 30% to 100%, one session attendee said in a comment after the presentation. With these figures, why wouldn't women with dense tissue undergo screening breast ultrasound?
"To exclude any woman with dense breast tissue from screening ultrasound is sort of like telling her, 'Well, you don't drive much, so your chances of dying in a car accident are small and you don't need a seat belt,' " the attendee said. "Women with dense breasts need ultrasound screening exams, period."





















