
Adding tomosynthesis to full-field digital mammography (FFDM) can reduce recall rates in a routine screening population by more than a third -- in addition to finding more cancers, according to research presented at the recent RSNA 2012 meeting.
Dr. Stephen Rose, from TOPS Comprehensive Breast Center, and colleagues compared recall rates with digital mammography plus tomosynthesis (2D/3D) to rates with digital mammography alone. The team conducted a retrospective review of 10,878 consecutive asymptomatic patients who underwent routine screening mammography with FFDM plus tomosynthesis using Hologic's Selenia Dimensions.
![]() |
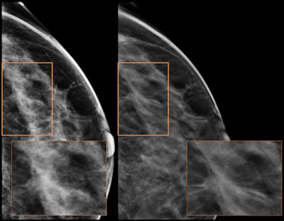
| Craniocaudal tomosynthesis views demonstrate spiculated mass not seen on 2D exam in the upper outer quadrant. Image courtesy of Dr. Stephen Rose, TOPS Comprehensive Breast Center. |
TOPS is a private breast imaging practice covering the Houston area. Its 14 radiologists interpret more than 100,000 mammograms per year. The center upgraded to tomosynthesis from May to September 2011, and all patients were offered a tomosynthesis screening exam at no extra charge, Rose said. The practice's radiologists underwent an eight-hour, Web-based training on reading tomosynthesis exams.
"Some of our readers also opted to participate in a manufacturer-sponsored hands-on review of 150 tomosynthesis cases," Rose said.
The 2D/3D combination screening exams were taken between May 2011 and January 2012; they were interpreted by 10 radiologists and used for standard clinical evaluation and patient management, Rose said. Retrospectively, seven other radiologists blinded to the combination results interpreted only the 2D examination.
"Prior mammograms and clinical history were provided for all retrospective interpretations, and readers used a dedicated workstation to prevent access to 2D/3D combo results," he said. "We instructed these second readers to interpret the cases as if the results would be used for patient management, and no radiologists read the same study in either of the groups."
Outcome measures were recall and cancer detection rates; in recall and cancer cases, confirmed results came from an initial screening mammogram and verified biopsy and surgical pathology reports, according to Rose.
The researchers found that the 2D/3D combination reduced recall rates by approximately 35%.
|
Rose and colleagues also found that the historical recall rate of the 2D alone readers was consistent with their study recall rate, at 8.8% and 8.2%, respectively. Meanwhile, 2D/3D readers' recall rate improved over their historical 2D rate, at 5.4% versus 9.7%.
The 2D/3D combination increased cancer detection by 54%, from 3.5 cancers found per 1,000 women with 2D alone to 5.4 cancers found per 1,000 women with 2D/3D -- and the increase was even higher with invasive cancer, Rose said.
"The invasive cancer detection rate [for the combination studies] was 65% higher than with 2D alone," he noted.
|
Study disclosures Dr. Rose is a consultant for Hologic, and Hologic provided support for the study. |



















