
Certain clinical factors such as a woman's menstrual cycle are linked to the degree of early background parenchymal enhancement (BPE) on contrast-enhanced mammography (CEM), a study published January 25 in the American Journal of Roentgenology has found.
Researchers led by Dr. Simin Wang, PhD, from the Fudan University Shanghai Cancer Center discovered that menstrual status and menstrual cycle time, as well as dense breasts, are clinical factors that could influence CEM interpretations and scheduling.
"The present study is the first to our knowledge to focus exclusively on associations with the degree of early BPE on CEM, providing new insight regarding BPE on this emerging modality," Wang and colleagues wrote.
BPE refers to the enhancement of normal fibroglandular tissue on contrast-enhanced imaging. This can make interpreting images more difficult, as well as lead to higher biopsy rates. BPE has been previously reported as impacting CEM interpretation, but the researchers noted that factors influencing the degree of BPE on CEM are not well understood.
For this study, Wang and colleagues explored potential relationships between menstrual cycle and tissue density and the degree of early BPE on CEM. The team included data collected from 207 women between 2020 and 2021. Two radiologists assessed the degree of BPE on CEM as minimal, mild, moderate, or marked. The radiologists also reached consensus for breast density on CEM, and their overall agreement was measured by kappa coefficients.
Wang et al found that interreader agreement for degree of BPE was 0.80, and they noted positive associations between dense breasts and premenopausal status with irregular menstrual cycles. For premenopausal women with regular cycles, the degree of BPE was lowest for women in menstrual cycle days eight to 14.
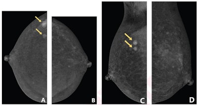
Contrast-enhanced mammography images show that the degree of background parenchymal enhancement (BPE) increases over time after contrast agent injection. (A) Craniocaudal view of the right breast shows mild BPE, whereas subsequently obtained (B) craniocaudal view of the left breast shows moderate BPE. Based on the first criteria reflecting only the first obtained view, the degree of BPE is classified as mild; based on the second criteria reflecting both obtained views, the degree of BPE is classified as moderate. Histopathologic assessment from subsequent biopsy showed that both masses were invasive ductal carcinoma.
| Clinical factors associated with early degree of BPE on CEM | |
| Clinical factor | Odds ratio (OR) |
| Dense breasts | 4.13 |
| Premenopausal status with irregular menstrual cycles | 7.94 |
| Premenopausal patients with regular menstrual cycles, days 8-14 | 2.56 |
The degree of BPE was negatively associated with the following factors: age, personal history of breast cancer, history of chemotherapy, history of radiation therapy, perimenopausal status, and postmenopausal status, according to the investigators, who also reported that the only independent predictors of degree of BPE were related to menstrual status and time of menstrual cycle.
These associations may represent decreases in estrogen hormone levels and in fibroglandular tissue as patients age, attributing both to endogenous and exogenous hormone levels that may affect the degree of BPE.
For the finding on timing of menstrual cycles, the authors suggested that this association may reflect fluctuation in circulating estrogen levels throughout the menstrual cycle.
"This association could inform decisions regarding scheduling of CEM examinations based on the time of menstrual cycle," they added.




















