A recent Australian study criticizing narratives surrounding breast density notification has drawn mixed reactions from radiologists and advocates of breast cancer screening.
The study, published February 14 in the British Medical Journal (BMJ), suggested that feminist narratives are being used by companies to influence women’s health. This includes the view that all women undergoing breast cancer screening should be notified of their breast density. The study was led by Tessa Copp, PhD, from the University of Sydney.
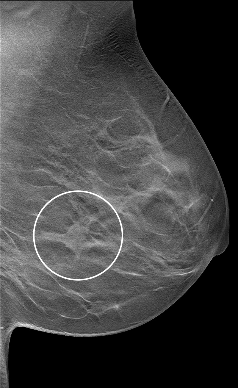
Radiologists have studied and continue to research how breast density plays into breast cancer risk. Previous studies have demonstrated that dense breast tissue masks breast cancers on mammography, and that supplemental imaging such as ultrasound and MRI confirms suspicious findings within dense tissue.
The U.S. Food and Drug Administration (FDA) in 2023 amended its Mammography Quality Standards Act (MQSA) to mandate that breast imaging facilities notify patients of their breast density. The law goes into effect September 10, 2024. Breast radiologists and advocates alike have applauded the amendment.
“The goal of the national density law is to provide information to women and providers to facilitate discussing breast cancer risk and supplemental imaging and whether to consider extra testing or an alternative screening strategy,” said Karla Kerlikowske, MD, from the University of California, San Francisco.
Kerlikowske has studied breast density on imaging. In 2018, she led a study on automated breast density assessment for informing cancer risk, and in 2022, she and colleagues studied the impact of digital breast tomosynthesis (DBT) on imaging dense breasts.
For the BMJ study, Copp and colleagues evaluated how feminist health narratives are being used to advance commercial interests in promoting new technologies, tests, and treatments that they wrote are not backed by evidence. They highlighted that this behavior risks harming women through inappropriate treatment methods.
For breast density, the team suggested in its analysis that breast density notification is being used to promote additional screening without robust evidence and without mentioning this lack of evidence.
It added that breast density notification can increase women’s anxiety, confusion, and intentions to seek additional screening. The researchers also suggested that breast density measurement may be unreliable.
For the latter, the researchers cited reviews that reported 13%-19% of women moved between dense and nondense categories at a second screen and limited evidence regarding the efficacy of automated breast density measurement software.
They concluded that while stronger patient autonomy should be supported, marketing for medical interventions without stating the lack of evidence or limitations can cause more harm than benefits.
Kerlikowske said that studies from the Breast Cancer Surveillance Consortium have shown breast density alone should not be the basis for deciding whether to have supplemental imaging. This is because not all women with dense breasts are at increased risk of a missed or advanced cancer, she added.
“Risk assessment that includes a measure of breast density should be performed to determine who is at high enough risk of cancer to justify supplemental screening,” she told AuntMinnie.com.
However, advocates for breast density notification say that such messaging impacts many women. Wendie Berg, MD, PhD, from the University of Pittsburgh Medical Center and Magee-Womens Hospital said that for the 40% of women who have dense breasts, cancers are more likely to develop and are more likely not to be seen on the mammogram.
“Breast cancer is easier to treat and more successfully treated when found early, and all women deserve the chance for their cancer to be found early,” said Berg, who is also a co-founder of DenseBreast-info.org.
“Any test, including mammography, has a substantial risk of causing additional testing for a finding that is not cancer,” Berg added. “That risk drops when there is a prior exam for comparison. Women can handle the facts.”
JoAnn Pushkin, another co-founder of DenseBreast-info.org, told AuntMinnie.com that all patients should be informed about the realistic limitations of any test being sent for, in this case, the compromised sensitivity of mammography in dense breasts.
“Without this information, women cannot effectively participate in informed discussions about their own breast health surveillance,” she said.
Stamatia Destounis, MD, from Elizabeth Wende Breast Care in Rochester, NY, and chair of the American College of Radiology (ACR) Breast Imaging Commission, told AuntMinnie.com that informing patients when they have dense tissue is just the first step.
"This allows for individualized, risk-based screening decisions to be made by the patient and her healthcare team," she said." Numerous studies have demonstrated that screening ultrasound in women with dense breasts can detect breast cancers that were missed on the mammogram."
The study can be found here.



















