Digital breast tomosynthesis (DBT) plus synthesized mammography screening leads to higher detection of early-stage invasive breast cancers grades 2 or 3, according to research published December 5 in Radiology.
A team led by Stefanie Weigel, MD, from the University of Münster in Germany, found in its subanalysis of the Tomosynthesis plus Synthesized Mammography (TOSYMA) study that this combined method detects more cancers than mammography alone. The group also found that women ages 60-70 with dense breasts had the highest breast cancer rate in the study.
“These results suggest that DBT plus synthesized mammography screening might contribute to increased screening effectiveness by enhancing the early detection of prognostically unfavorable cancers compared with digital mammography,” Weigel and coauthors wrote.
Previous research suggests that breast cancer screening with DBT plus synthesized mammography detects more invasive tumors compared to digital mammography. However, it is not known how these two screening approaches assess the prognostic characteristics of detected breast cancers, the researchers noted.
Weigel and colleagues compared invasive breast cancers detected with DBT plus synthesized mammography (test arm) versus digital mammography (control arm) screening regarding tumor stage, histologic grade, patient age, and breast density.
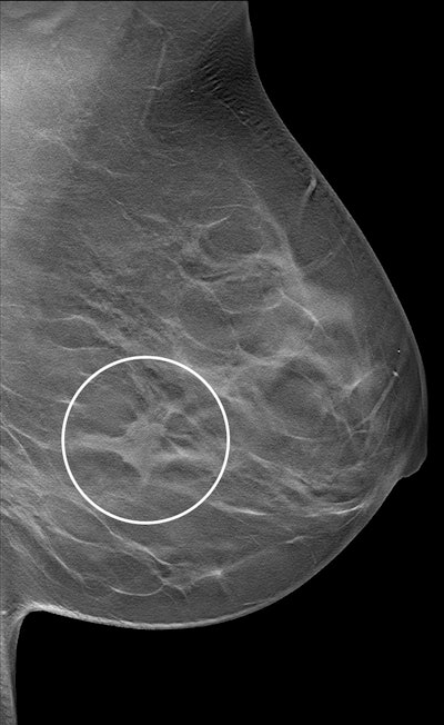
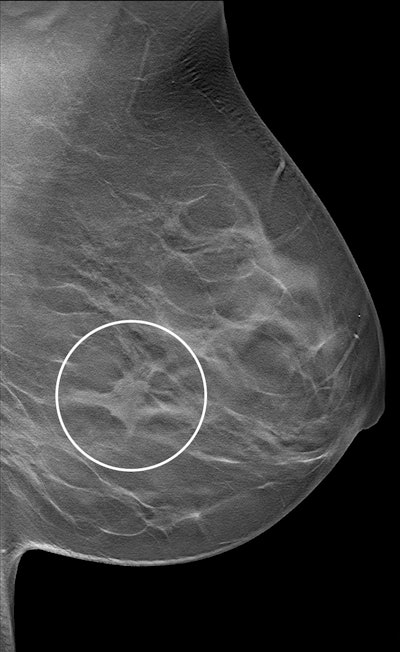
Imaging depicts a screen-detected invasive breast cancer in the dense breast tissue of a 59-year-old woman. A section in the mediolateral oblique view from a DBT exam of the left breast shows an irregular mass with surrounding architectural distortion (circle). The participant had no history of breast cancer and had been screened previously in the German mammography screening program. Histologic analysis showed invasive carcinoma of no special type, grade 2, with tumor size of 18 mm. Image courtesy of the RSNA.
The researchers analyzed data from the TOSYMA study, a multicenter randomized controlled trial within the German mammography screening program. The study recruited women ages 50-70 from 2018 to 2020. The team included data from 49,462 women in the test arm and 49,669 women in the control arm.
The test arm of the study experienced a higher incidental cancer detection rate of stage I tumors with a histologic grade of 2 or 3, the study found.
| Comparison between test, control arms of TOSYMA study for tumor detection | ||
|---|---|---|
| Control arm | Test arm | |
| Detection rate of stage I tumors (per 10,000 women) | 30 | 51.6 |
| Detection of stage I tumors with grade 2 or 3 (per 10,000 women) | 21.3 | 33.7 |
The team also reported that DBT plus synthesized mammography achieved the highest incidental cancer detection rate of stage I tumors with grade 2 or 3 among women aged 60-70 years with dense breasts. This included a detection rate of 55.4 per 10,000 women.
The study authors wrote that their results confirm that screening with DBT plus synthesized mammography increases the overall detection rate of early breast cancers. They added that it also raises the early detection of prognostically adverse cancers with histologic grade 2 or 3 at an early stage.
In an accompanying editorial, Su Min Ha, MD, PhD, and Jung Min Chang, MD, PhD, from Seoul National Hospital in South Korea wrote that as more evidence emerges on DBT or combined DBT methods, more confidence in the adoption of DBT screening strategies in clinical practice should be expected.
“Regarding the detection of early and prognostically relevant breast cancers, the findings from the TOSYMA trial may guide more personalized screening strategies, particularly for specific age groups, and may be beneficial in women both with dense and with nondense breast tissues,” they wrote.
The full study can be found here.


















